Industry NewsAffymetrix and XRGenomics LTD to Collaborate on Development of Diagnostic Tests for Age-related Diseases
Industry NewsAffymetrix and EverGene Ltd. Collaborate in Genetic Research and Personal Genomics Services in Japan
Product NewsAffymetrix Expands Portfolio of Axiom Genotyping Arrays for Agrigenomics with New Offerings for Porcine and Equine Studies
Industry NewsThe Binding Site and eBioscience, an Affymetrix Business, Partner in Clinical Flow Cytometry Reagent Agreement
Industry NewsToshiba Corporation Selects Affymetrix Axiom Platform for Its Newly Launched Genotyping Service in Japan
Product NewsAffymetrix Launches Solution to Enable Cancer Researchers to Rapidly Map the Functional Impact of DNA Alterations on Gene Expression Profiles to Identify Potential Cancer Driver Events
Product NewsAffymetrix and Ariosa Diagnostics Announce Agreement in Support of Ariosa’s Harmony™ Non-Invasive Prenatal Test
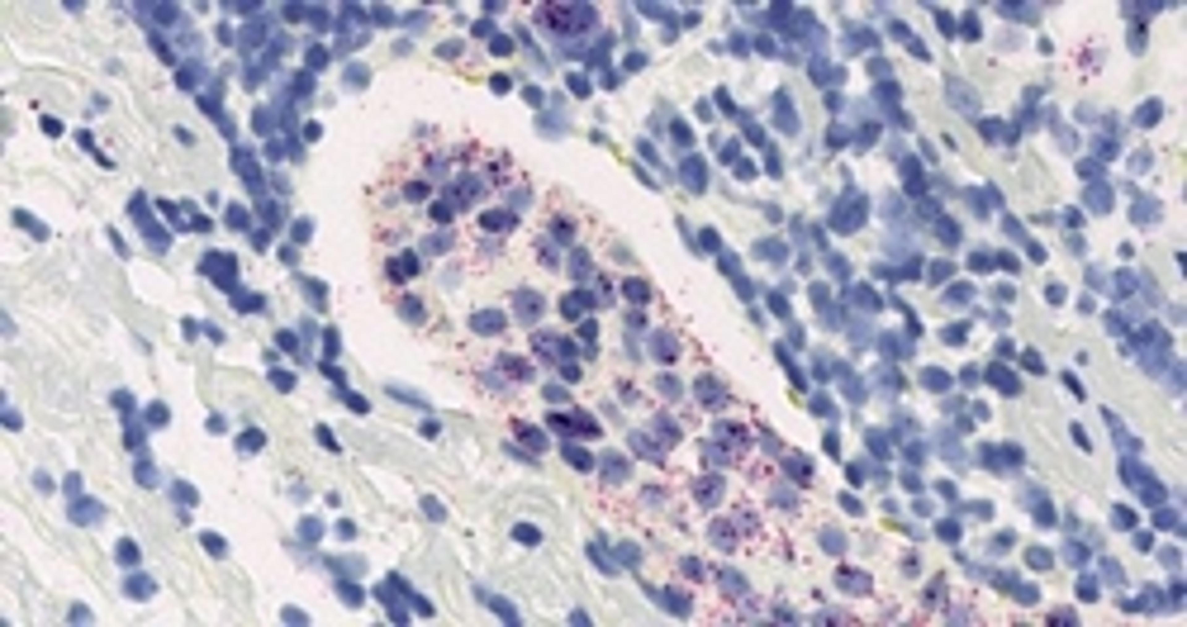
Product NewsAffymetrix and Leica Biosystems Announce the Launch of Fully Automated RNA <i>in situ</i> Hybridization Assays
Product NewsFDA Clearance of Genetic Test for Developmental Delays and Intellectual Disabilities in Children
Product NewsUniversity Of Bristol Collaborates with Affymetrix on Genotyping Arrays for Guaranteed Sustainability of Wheat Production
Product NewsAffymetrix to Host Workshop on Genomic Selection at Plant and Animal Genome (PAG) Conference
Product NewsAffymetrix Axiom® Strawberry Genotyping Array Delivers Automated Analysis for High-Resolution Genome Scanning of Octoploid Strawberry
Product NewsAffymetrix Announces New Axiom® 384HT Genotyping Format for Cost-Effective, High-Throughput Genotyping Studies
Product NewsAffymetrix and BioDiscovery Announce Software to Accelerate Cancer Translational Research
Product NewsAffymetrix Launches 18 New Microarrays for Gene Expression Analysis of Model and Applied Research Organisms
Product NewsAffymetrix To Release Axiom Array Plates Optimised for NIH-funded Genotyping Study of 100,000 People