Recombinant Mouse Nuclear factor interleukin-3-regulated protein (Nfil3)Catalog NumberCSB-EP015757MOHostMouseApplicationsSDS-PAGE, ELISA, Western Blotting, Immunoassay
SRM AntibodyCatalog NumberCSB-PA01115A0RbHostRabbitReactivityHumanApplicationsELISA, Western Blotting, Immunohistochemistry
CRYBA1 AntibodyCatalog NumberCSB-PA006009LA01HUHostRabbitReactivityHuman, MouseApplicationsELISA, Western Blotting, Immunohistochemistry, Immunofluorescence
Recombinant Rat Neural cell adhesion molecule 1 (Ncam1), partialCatalog NumberCSB-EP015511RAHostRatApplicationsSDS-PAGE, ELISA, Western Blotting, Immunoassay
Recombinant Human cytomegalovirus Enhanced green fluorescent protein (egfp)Catalog NumberCSB-EP2069HIZ(M)HostViralApplicationsSDS-PAGE, ELISA, Western Blotting, Immunoassay
Recombinant Human Somatostatin receptor type 2 (SSTR2)Catalog NumberCSB-CF022725HUHostHumanApplicationsSDS-PAGE, ELISA, Western Blotting, Immunoassay
TARDBP AntibodyCatalog NumberCSB-PA023129EA01HUHostRabbitReactivityHumanApplicationsELISA, Western Blotting, Immunohistochemistry, Immunofluorescence
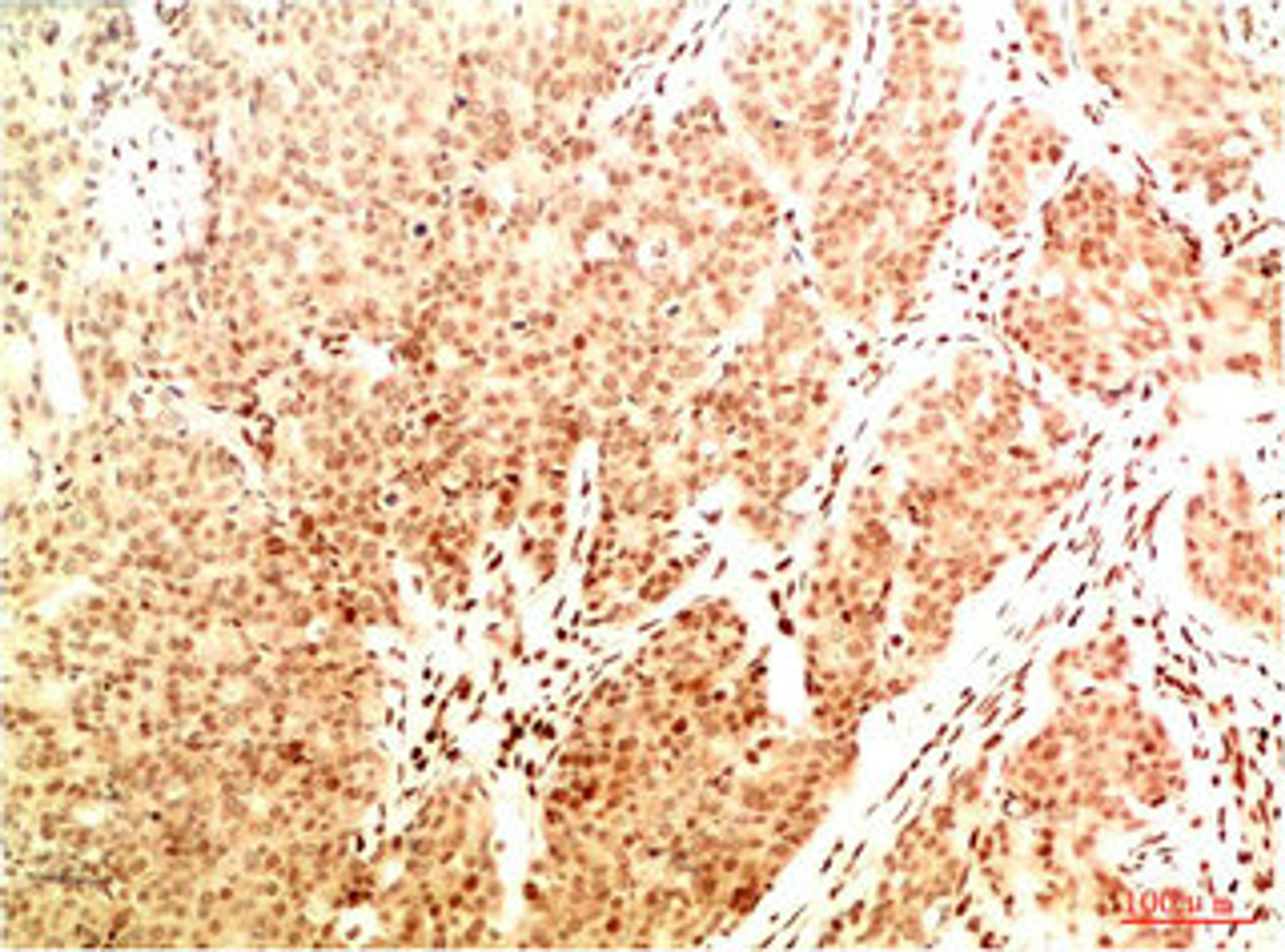
SFI1 AntibodyCatalog NumberCSB-PA021132ESR1HUHostRabbitReactivityHumanApplicationsELISA, Western Blotting, Immunohistochemistry
Recombinant Human Lysyl oxidase homolog 1 (LOXL1), partialCatalog NumberCSB-EP013040HUb0HostHumanApplicationsSDS-PAGE, ELISA, Western Blotting, Immunoassay
pmpD AntibodyCatalog NumberCSB-PA530746LA01DSBHostRabbitReactivityChlamydia trachomatisApplicationsELISA, Western Blotting
Acetyl-RELA(K314/K315) Monoclonal AntibodyCatalog NumberCSB-MA240236HostMouseReactivityHuman, Mouse, RatApplicationsELISA, Immunohistochemistry
CF®350 Goat Anti-Mouse IgG2b (γ2b), 2mg/mLManufacturerBiotiumCatalog Number#20265-1HostGoatApplicationsImmunofluorescence, Immunohistochemistry (Formalin-Fixed Sections), Immunohistochemistry (Frozen Sections), Western Blotting
Recombinant Mouse Sulfotransferase 1A1 (Sult1a1)Catalog NumberCSB-EP022933MOHostMouseApplicationsSDS-PAGE, ELISA, Western Blotting, Immunoassay
Recombinant Mouse Protein Wnt-9a (Wnt9a)Catalog NumberCSB-EP840305MOHostMouseApplicationsSDS-PAGE, ELISA, Western Blotting, Immunoassay
Recombinant Human Signal recognition particle subunit SRP72 (SRP72)Catalog NumberCSB-EP022677HUHostHumanApplicationsSDS-PAGE, ELISA, Western Blotting, Immunoassay
Recombinant Human CMRF35-like molecule 1 (CD300LF), partialCatalog NumberCSB-YP819470HUHostHumanApplicationsSDS-PAGE, ELISA, Western Blotting, Immunoassay
DCLK1 AntibodyCatalog NumberCSB-PA006548LA01HUHostRabbitReactivityHumanApplicationsELISA, Immunohistochemistry, Immunofluorescence
Recombinant Human Peroxiredoxin-1 (PRDX1)Catalog NumberCSB-EP018653HUHostHumanApplicationsSDS-PAGE, ELISA, Western Blotting, Immunoassay
CD8a Mouse Monoclonal Antibody (SK1), APC-Astral™813 Conjugate - Biotium ChoiceManufacturerBiotiumCatalog NumberP009-A813-500HostMouseApplicationsFlow Cytometry
Recombinant Rabbit Melanotransferrin (Mfi2), partialCatalog NumberCSB-EP013754RBHostRabbitApplicationsSDS-PAGE, ELISA, Western Blotting, Immunoassay
Recombinant Mouse Natriuretic peptides B (Nppb)Catalog NumberCSB-EP016021MOHostMouseApplicationsSDS-PAGE, ELISA, Western Blotting, Immunoassay
Recombinant Human Serine/threonine-protein phosphatase PP1-beta catalytic subunit (PPP1CB)Catalog NumberCSB-EP018504HUHostHumanApplicationsSDS-PAGE, ELISA, Western Blotting, Immunoassay
KITLG AntibodyCatalog NumberCSB-PA012376ESR2HUHostRabbitReactivityHumanApplicationsELISA, Western Blotting
HIST1H2AG (Ab-9) AntibodyCatalog NumberCSB-PA010389OA09nme1HUHostRabbitReactivityHumanApplicationsELISA, Chromatin Immunoprecipitation
Recombinant Human Tumor necrosis factor receptor superfamily member 21 (TNFRSF21), partialCatalog NumberCSB-EP023979HUHostHumanApplicationsSDS-PAGE, ELISA, Western Blotting, Immunoassay