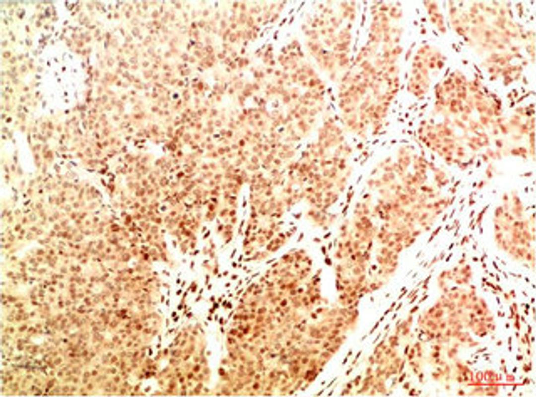
Product & ReviewsAntibodiesAcetyl-RELA(K314/K315) Monoclonal AntibodyProduct DetailsCat. No.CSB-MA240236TypePrimary AntibodyClonalityMonoclonalHostMouse0.0/5.0|0 Reviews|Write your own ReviewImmunohistochemical analysis of paraffin-embedded Human Breast Carcinoma Tissue using Acetyl NF kB P65(K314/K315) Mouse mAb diluted at 1:200.ReviewsSpecificity rating Sensitivity rating Quality rating Be the first to leave a reviewApplications ELISA (ELISA) Immunohistochemistry (IHC)Antibody OverviewAcetyl-RELA(K314/K315) Monoclonal Antibody0.0/5.0|0 Reviews