Recombinant Human Set1/Ash2 histone methyltransferase complex subunit ASH2 (ASH2L)Catalog NumberCSB-EP883363HUHostHumanApplicationsSDS-PAGE, ELISA, Western Blotting, Immunoassay
Recombinant Mouse Epididymal-specific lipocalin-5 (Lcn5)Catalog NumberCSB-EP381788MOHostMouseApplicationsSDS-PAGE, ELISA, Western Blotting, Immunoassay
CD147 Recombinant Monoclonal AntibodyCatalog NumberCSB-RA002831A0HUReactivityHumanApplicationsELISA, Western Blotting, Immunohistochemistry, Immunofluorescence, Flow Cytometry
GCK AntibodyCatalog NumberCSB-PA009319ESR1HUHostRabbitReactivityHumanApplicationsELISA, Western Blotting, Immunohistochemistry
Recombinant Human Carbonic anhydrase 6 (CA6)Catalog NumberCSB-EP004377HUHostHumanApplicationsSDS-PAGE, ELISA, Western Blotting, Immunoassay
MAP2K3 AntibodyCatalog NumberCSB-PA013412ESR2HUHostRabbitReactivityHumanApplicationsELISA, Western Blotting, Immunohistochemistry
Recombinant Epstein-Barr virus Small capsomere-interacting protein (SCP), BiotinylatedCatalog NumberCSB-EP321237EFA-BHostViralApplicationsSDS-PAGE, ELISA, Western Blotting, Immunoassay
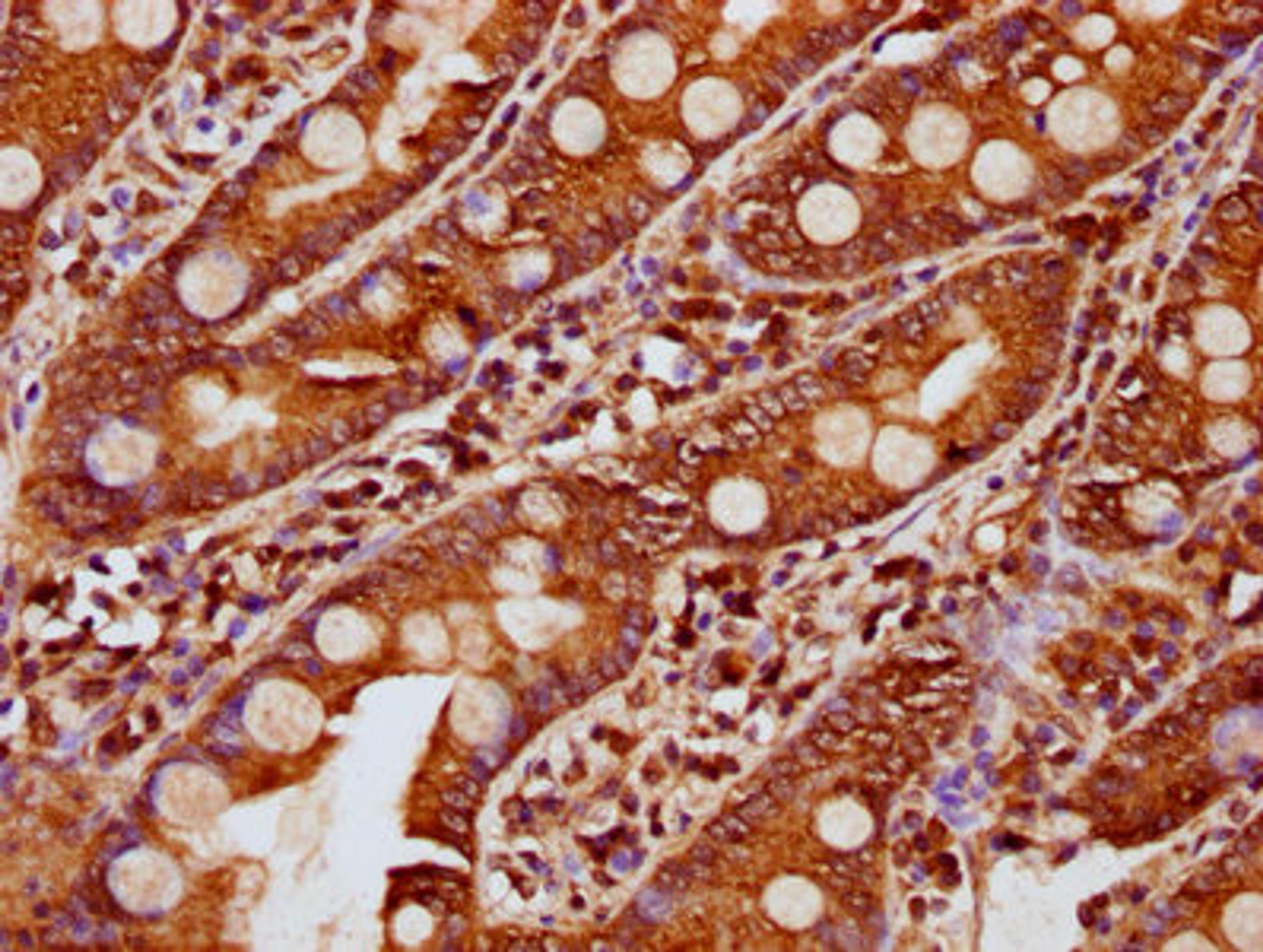
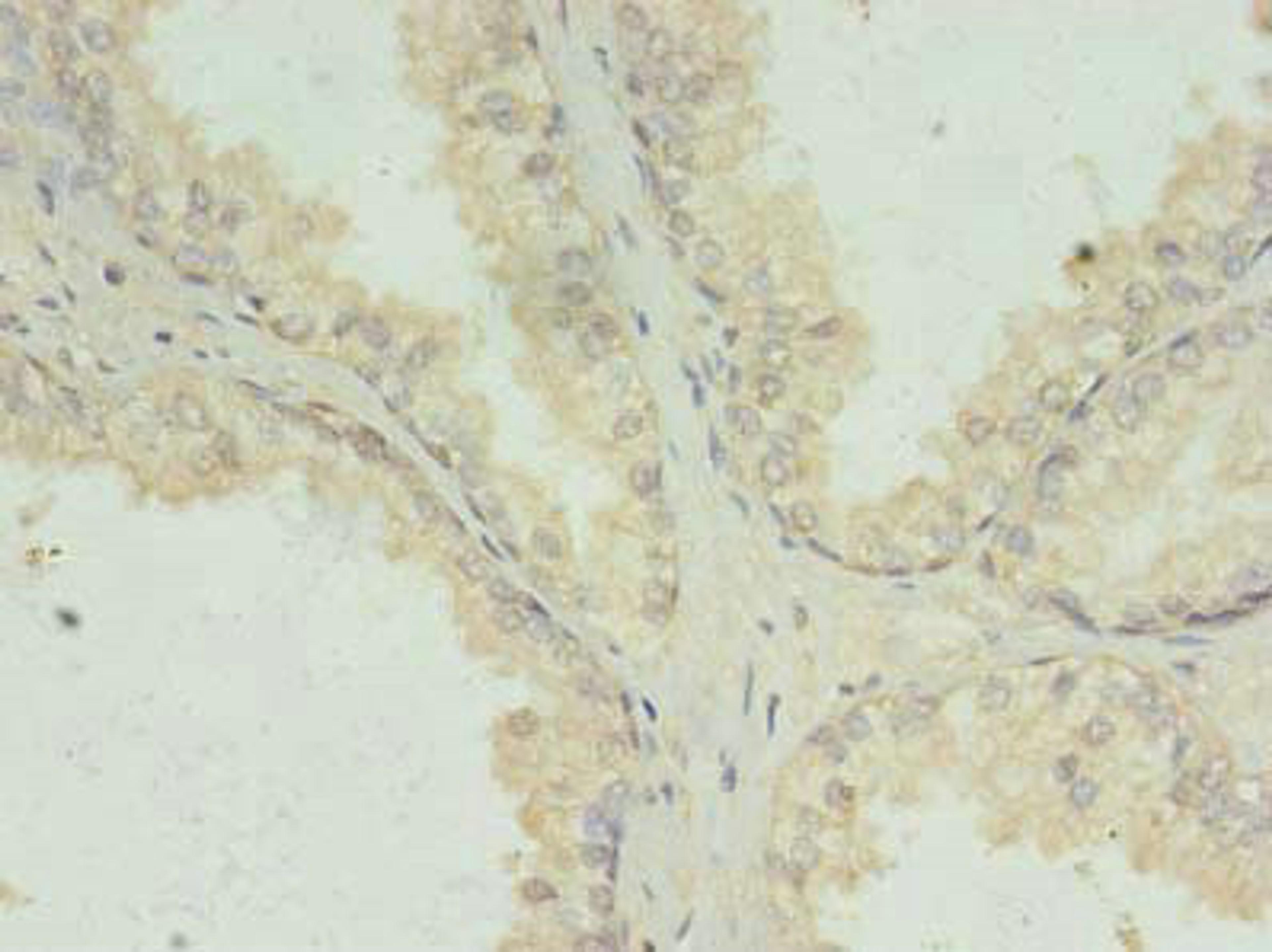
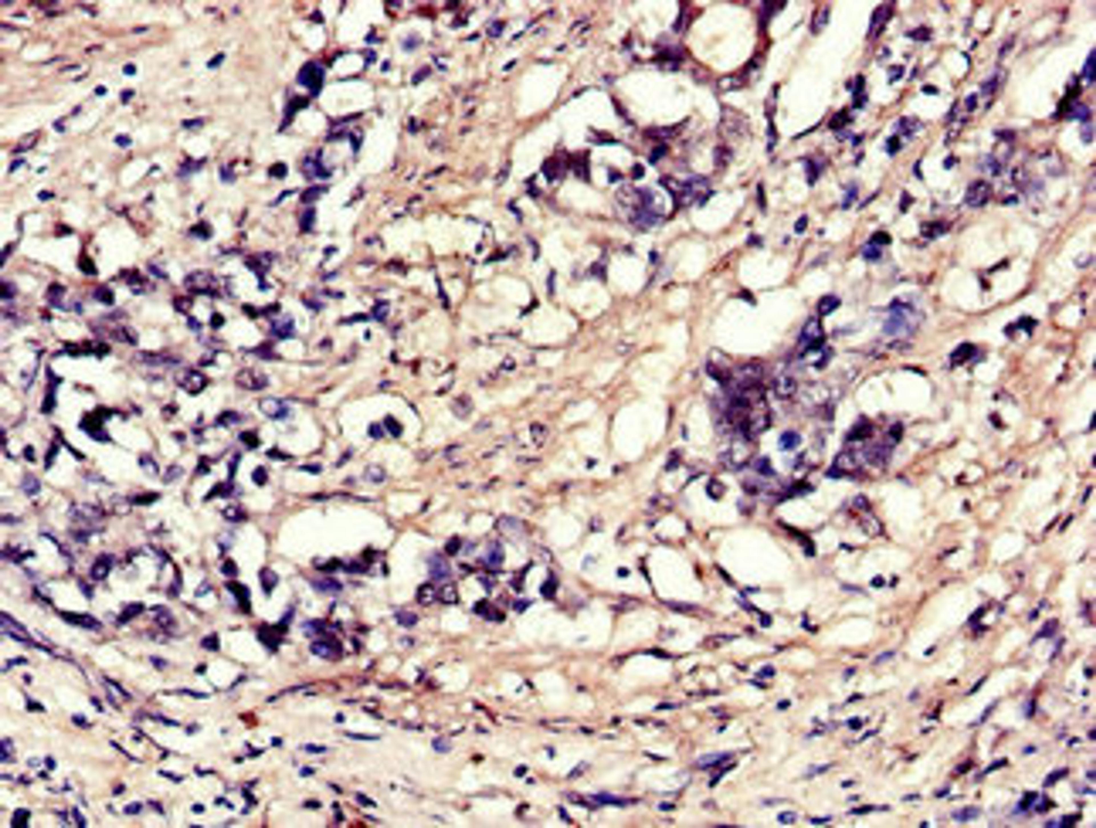
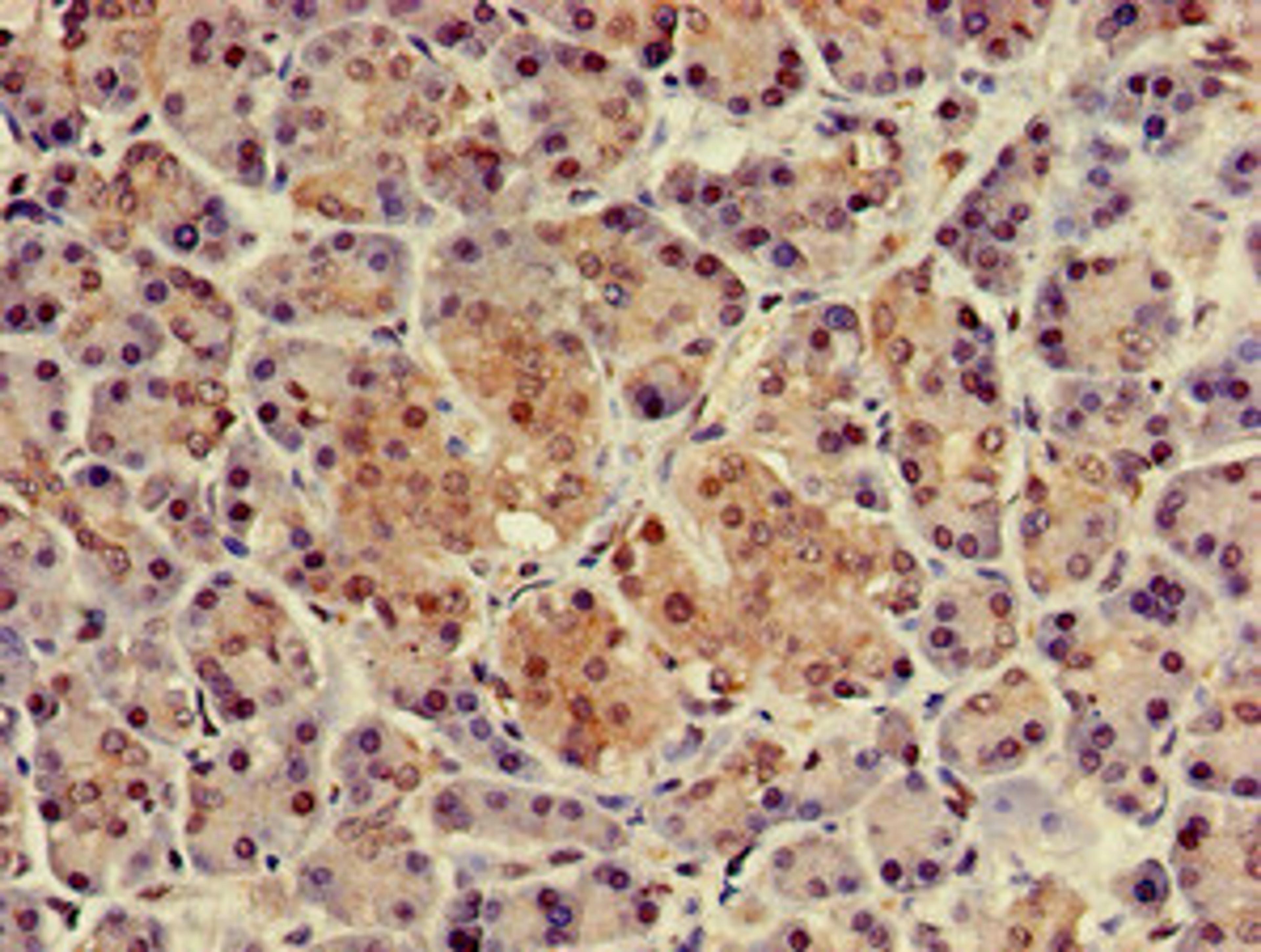
KLB AntibodyCatalog NumberCSB-PA769815LA01HUHostRabbitReactivityHumanApplicationsELISA, Immunohistochemistry, Immunofluorescence
Recombinant Human Protein Mdm4 (MDM4)Catalog NumberCSB-EP013627HUHostHumanApplicationsSDS-PAGE, ELISA, Western Blotting, Immunoassay
CDR2 AntibodyCatalog NumberCSB-PA005103LA01HUHostRabbitReactivityHuman, MouseApplicationsELISA, Western Blotting, Immunohistochemistry
acta1b AntibodyCatalog NumberCSB-PA20477A0RbHostRabbitReactivityZebrafishApplicationsELISA, Western Blotting
RGS2 AntibodyCatalog NumberCSB-PA019651LA01HUHostRabbitReactivityHumanApplicationsELISA, Western Blotting, Immunohistochemistry, Immunofluorescence
TSPAN8 Recombinant Monoclonal AntibodyCatalog NumberCSB-RA025166MA1HUReactivityHumanApplicationsELISA
Recombinant Human herpesvirus 6A Immediate-early protein 1 (U90/U89), partialCatalog NumberCSB-EP721301HJZb1HostViralApplicationsSDS-PAGE, ELISA, Western Blotting, Immunoassay
CF®594 Goat Anti-Human IgG (H&L), Fc Gamma Specific, highly cross adsorbedManufacturerBiotiumCatalog Number#20446-500uLHostGoatApplicationsImmunofluorescence, Immunohistochemistry (Formalin-Fixed Sections), Immunohistochemistry (Frozen Sections), Western Blotting
Recombinant Human C-Myc-binding protein (MYCBP)Catalog NumberCSB-EP858710HUHostHumanApplicationsSDS-PAGE, ELISA, Western Blotting, Immunoassay
Recombinant Human Cyclic AMP-dependent transcription factor ATF-7 (ATF7), partialCatalog NumberCSB-EP002279HUc7HostHumanApplicationsSDS-PAGE, ELISA, Western Blotting, Immunoassay
CF®640R Goat Anti-Human IgG (H+L), Highly Cross-Adsorbed, 2 mg/mLManufacturerBiotiumCatalog Number#20081HostGoatApplicationsImmunofluorescence, Immunohistochemistry (Formalin-Fixed Sections), Immunohistochemistry (Frozen Sections), Western Blotting
Recombinant Human C-C motif chemokine 26 protein (CCL26) (Active)Catalog NumberCSB-AP000991HUHostHumanApplicationsSDS-PAGE, ELISA, Western Blotting, Immunoassay
EIF4A3 AntibodyCatalog NumberCSB-PA007553LA01HUHostRabbitReactivityHumanApplicationsELISA, Western Blotting, Immunohistochemistry, Immunofluorescence
Recombinant Human GRIP and coiled-coil domain-containing protein 1 (GCC1), partialCatalog NumberCSB-EP846598HUHostHumanApplicationsSDS-PAGE, ELISA, Western Blotting, Immunoassay
EEF1AKMT1 AntibodyCatalog NumberCSB-PA819896HA01HUHostRabbitReactivityHumanApplicationsELISA, Western Blotting
PRKRA AntibodyCatalog NumberCSB-PA13669A0RbHostRabbitReactivityHumanApplicationsELISA, Immunohistochemistry, Immunofluorescence
Recombinant Rat Calmodulin (Calm1)Catalog NumberCSB-EP004445RAb1HostRatApplicationsSDS-PAGE, ELISA, Western Blotting, Immunoassay
NUPR1 AntibodyCatalog NumberCSB-PA527662LA01HUHostRabbitReactivityHumanApplicationsELISA, Immunohistochemistry, Immunofluorescence