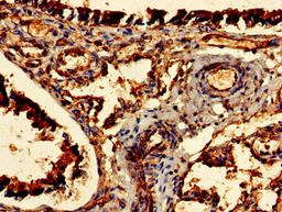
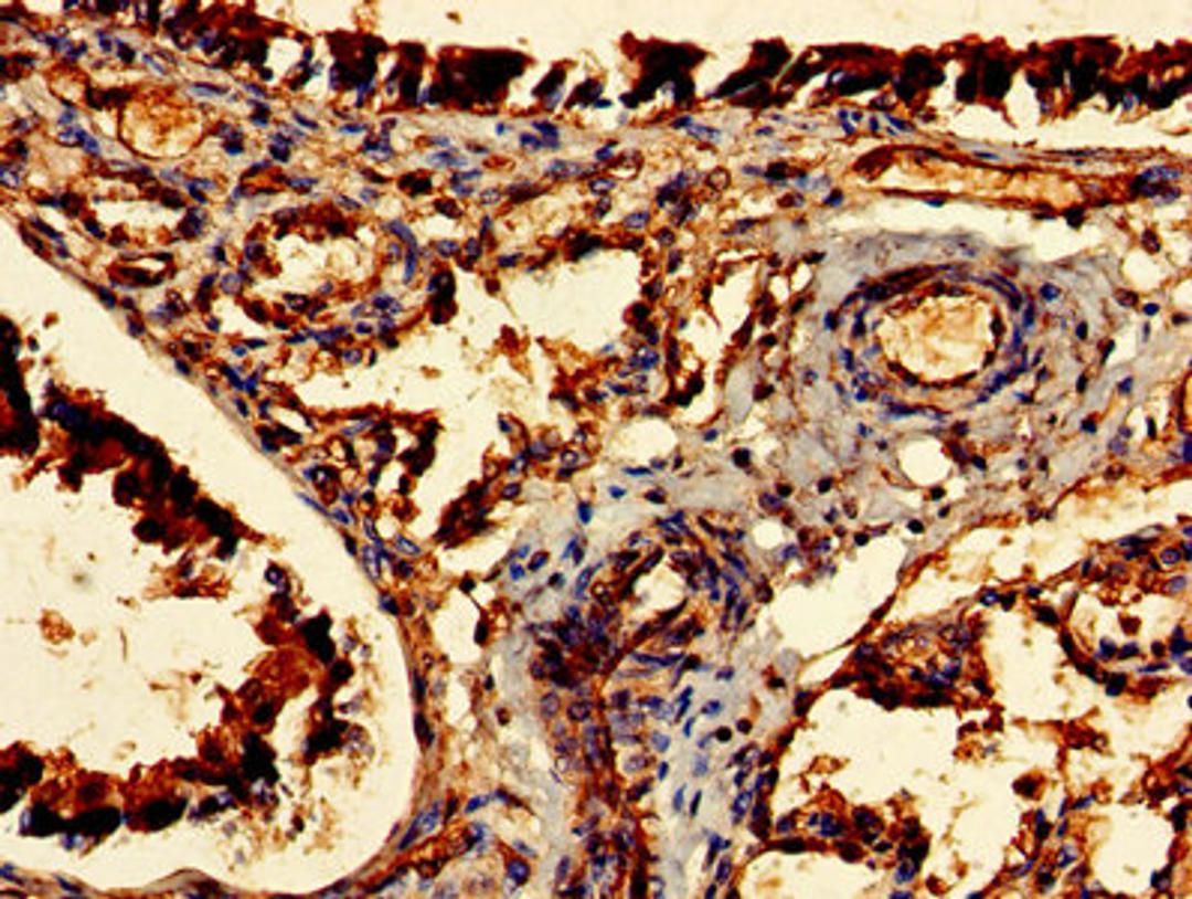
Product & ReviewsAntibodiesCDR2 AntibodyProduct DetailsCat. No.CSB-PA005103LA01HUTypePrimary AntibodyClonalityPolyclonalHostRabbit0.0/5.0|0 Reviews|Write your own ReviewImmunohistochemistry of paraffin-embedded human lung tissue using CSB-PA005103LA01HU at dilution of 1:100ReviewsSpecificity rating Sensitivity rating Quality rating Be the first to leave a reviewApplications ELISA (ELISA) Western Blotting (WB) Immunohistochemistry (IHC)Antibody OverviewCDR2 Antibody0.0/5.0|0 Reviews