Recombinant Mouse Zona pellucida sperm-binding protein 3 (Zp3)Catalog NumberCSB-EP027121MO1HostMouseApplicationsSDS-PAGE, ELISA, Western Blotting, Immunoassay
Recombinant Human NAD-dependent protein deacetylase sirtuin-3, mitochondrial (SIRT3) (R235A,E246A), partialCatalog NumberCSB-EP882102HU2(M)HostHumanApplicationsSDS-PAGE, ELISA, Western Blotting, Immunoassay
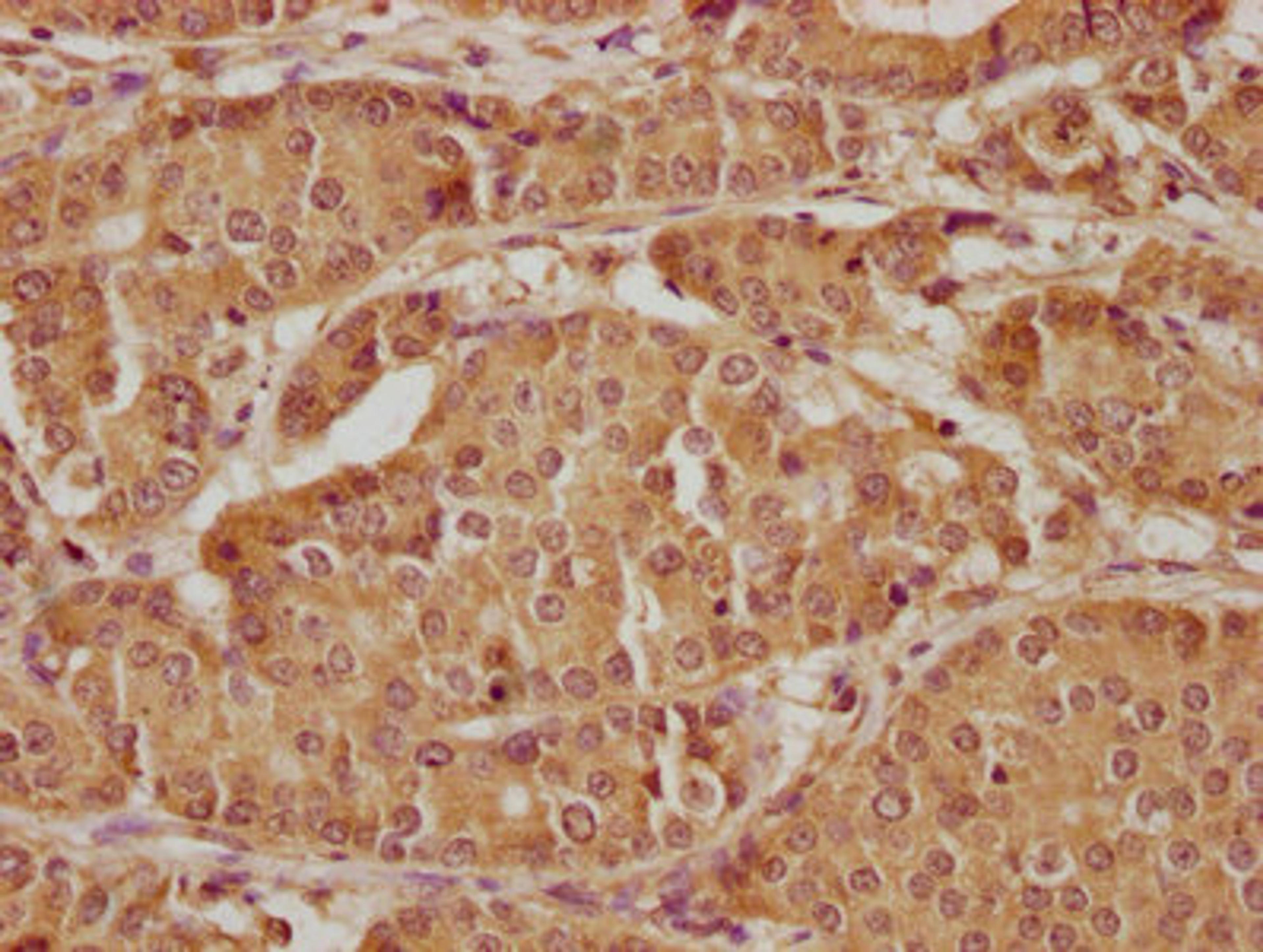
SRR AntibodyCatalog NumberCSB-PA022691LA01HUHostRabbitReactivityHuman, MouseApplicationsELISA, Western Blotting, Immunohistochemistry
Recombinant Human Sperm-egg fusion protein Juno (IZUMO1R)Catalog NumberCSB-EP008789HUHostHumanApplicationsSDS-PAGE, ELISA, Western Blotting, Immunoassay
NIT2 AntibodyCatalog NumberCSB-PA882075LA01HUHostRabbitReactivityHuman, MouseApplicationsELISA, Western Blotting
Recombinant Human Transmembrane protein 59 (TMEM59)Catalog NumberCSB-CF023860HUHostHumanApplicationsSDS-PAGE, ELISA, Western Blotting, Immunoassay
Recombinant Human Homeobox protein Nkx-3.2 (Nkx3-2)Catalog NumberCSB-EP015849HUHostHumanApplicationsSDS-PAGE, ELISA, Western Blotting, Immunoassay
B3GNT2 AntibodyCatalog NumberCSB-PA002500LA01HUHostRabbitReactivityHumanApplicationsELISA, Western Blotting, Immunohistochemistry
P2RX4 AntibodyCatalog NumberCSB-PA859513LA01HUHostRabbitReactivityHuman, Mouse, RatApplicationsELISA, Western Blotting, Immunohistochemistry
IgG Fraction Monoclonal Mouse Anti-Human IgECatalog Number209-002-244HostMouseReactivityHumanApplicationsComplement Mediated Cell Depletion
Recombinant Bovine Alpha-actinin-4 (ACTN4), partialCatalog NumberCSB-EP001244BOHostBovineApplicationsSDS-PAGE, ELISA, Western Blotting, Immunoassay
LRTM1 AntibodyCatalog NumberCSB-PA884513LA01HUHostRabbitReactivityHumanApplicationsELISA, Western Blotting, Immunohistochemistry, Immunofluorescence
Recombinant Human Protein phosphatase PTC7 homolog (PPTC7)Catalog NumberCSB-EP836783HUHostHumanApplicationsSDS-PAGE, ELISA, Western Blotting, Immunoassay
Recombinant Mouse Collagen alpha-1 (IV) chain (Col4a1), partialCatalog NumberCSB-EP005741MOHostMouseApplicationsSDS-PAGE, ELISA, Western Blotting, Immunoassay
Recombinant Mouse Extracellular serine/threonine protein kinase FAM20C (Fam20c)Catalog NumberCSB-BP702804MOHostMouseApplicationsSDS-PAGE, ELISA, Western Blotting, Immunoassay
Phospho-EGFR (Y1068) Recombinant Monoclonal AntibodyCatalog NumberCSB-RA007479A1068phHUReactivityHumanApplicationsELISA, Western Blotting
KRT20 AntibodyCatalog NumberCSB-PA012536LA01HUHostRabbitReactivityHumanApplicationsELISA, Western Blotting, Immunohistochemistry, Immunofluorescence
Recombinant Mouse E3 ubiquitin-protein ligase TRIM21 (Trim21)Catalog NumberCSB-EP733816MOa0HostMouseApplicationsSDS-PAGE, ELISA, Western Blotting, Immunoassay
GLO1 AntibodyCatalog NumberCSB-PA862860LA01DOAHostRabbitReactivityArabidopsis thalianaApplicationsELISA, Western Blotting
Recombinant Human Hypoxanthine-guanine phosphoribosyltransferase (HPRT1)Catalog NumberCSB-EP010706HU(M42)HostHumanApplicationsSDS-PAGE, ELISA, Western Blotting, Immunoassay
Recombinant Human Roundabout homolog 4 (ROBO4), partialCatalog NumberCSB-EP845177HU1d7HostHumanApplicationsSDS-PAGE, ELISA, Western Blotting, Immunoassay
UBASH3A AntibodyCatalog NumberCSB-PA025427LA01HUHostRabbitReactivityHumanApplicationsELISA, Western Blotting, Immunofluorescence
Wheat Gliadin AntibodyCatalog NumberCSB-PA00450E0RbHostRabbitReactivityPlantsApplicationsELISA, Western Blotting
Recombinant Mouse Transthyretin (Ttr) (Active)Catalog NumberCSB-MP025270MOHostMouseApplicationsSDS-PAGE, ELISA, Western Blotting, Immunoassay