ResourceLife Sciences
Robust Routine Amplification of Long DNA Fragments Using KAPA Biosystems LongRange HotStart and HiFi HotStart
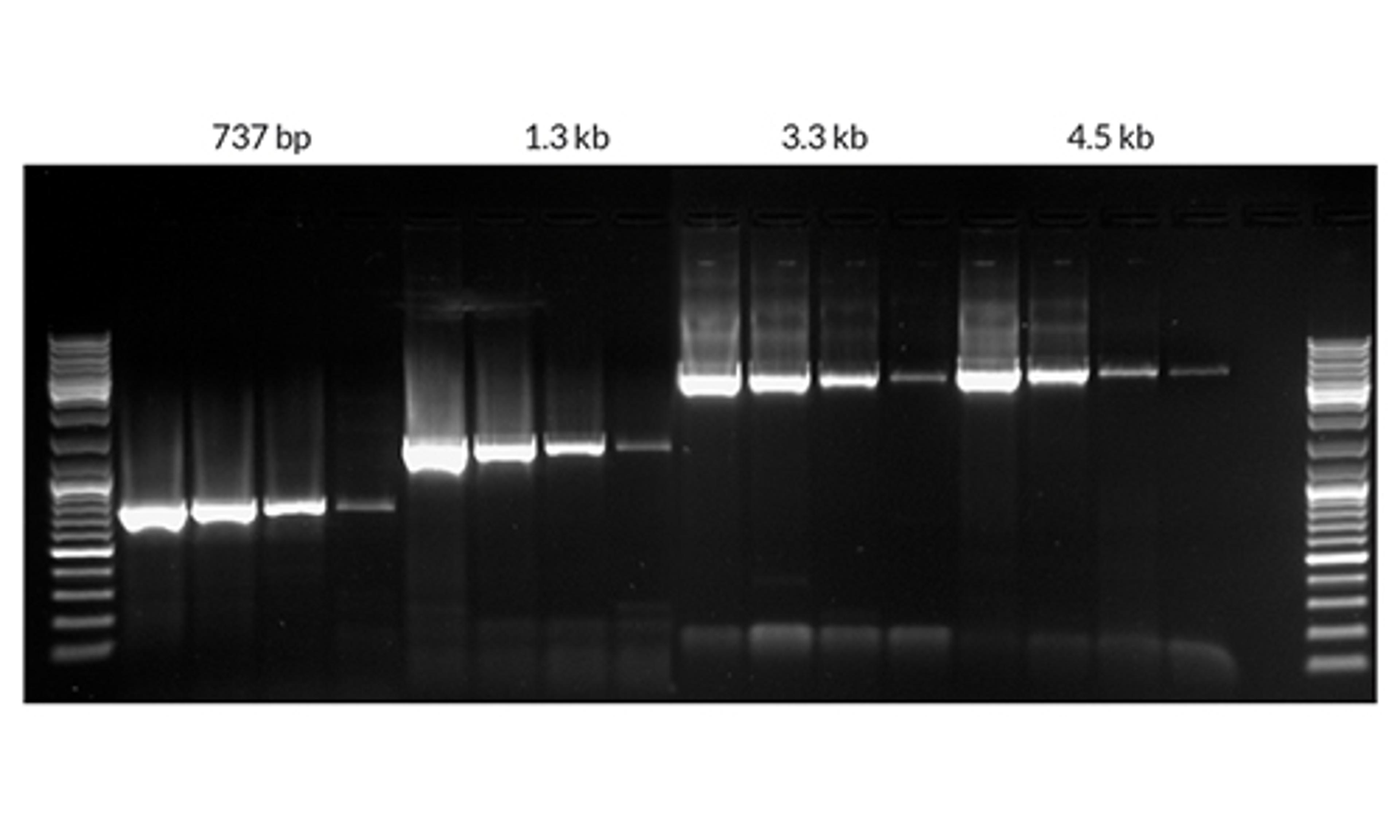
21 Apr 2016This application note describes two solutions for genetic testing of long amplicons from KAPA Biosystems: LongRange HotStart and HiFi HotStart PCR kits. Some genetic and pharmacogenetic tests require the routine amplification of long DNA fragments from complex genomic targets. Assays targeting fragments >3 kb often require careful optimization of reaction parameters, such as Mg2+, primer and template concentrations and cycling parameters. KAPA LongRange HotStart offers robust amplification in single and multiplex assays, whereas KAPA HiFi HotStart is capable of amplifying human genomic targets >10 kb with an error rate up to 50 times lower than long-range enzyme blends.

