Antibodies Products & Reviews

25

Antibodies are used in techniques such as confocal and fluorescence microscopy, flow cytometry, ELISA, ELISPOT, immunohistochemistry, western blotting and immunopreciptation. Select specific antigen reactivity, high specific affinity, low non-specific binding, monoclonal or polyclonal, primary or secondary antibodies and associated conjugates such as an enzyme or dye for visualization.

Product Filter

Explore by Field
Antibodies
Refine your selection
Explore by Company

Ratings

Search

Selected Filters:

Anti-p62 / SQSTM1 (C-terminus) guinea pig polyclonal, serum

PROGEN

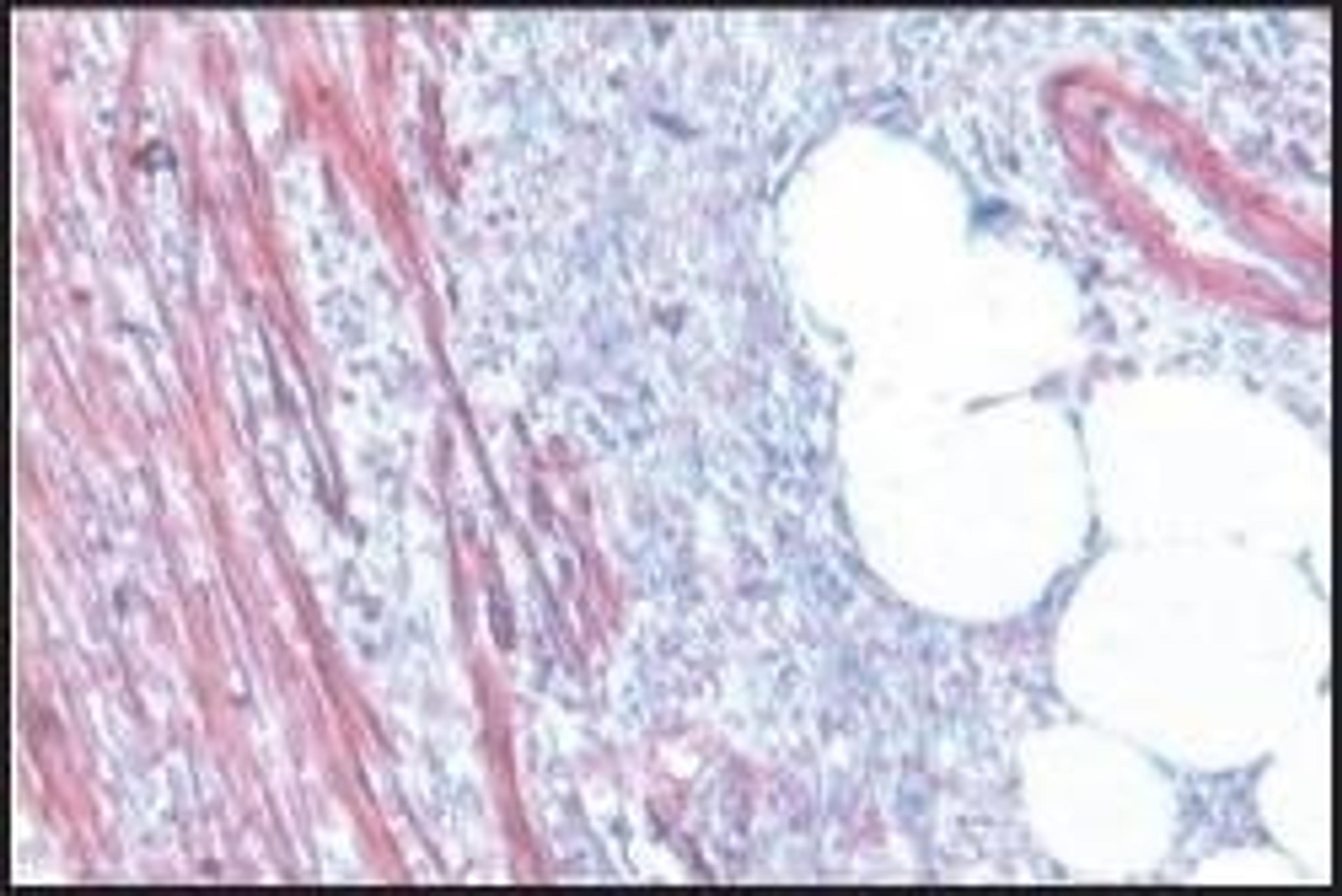
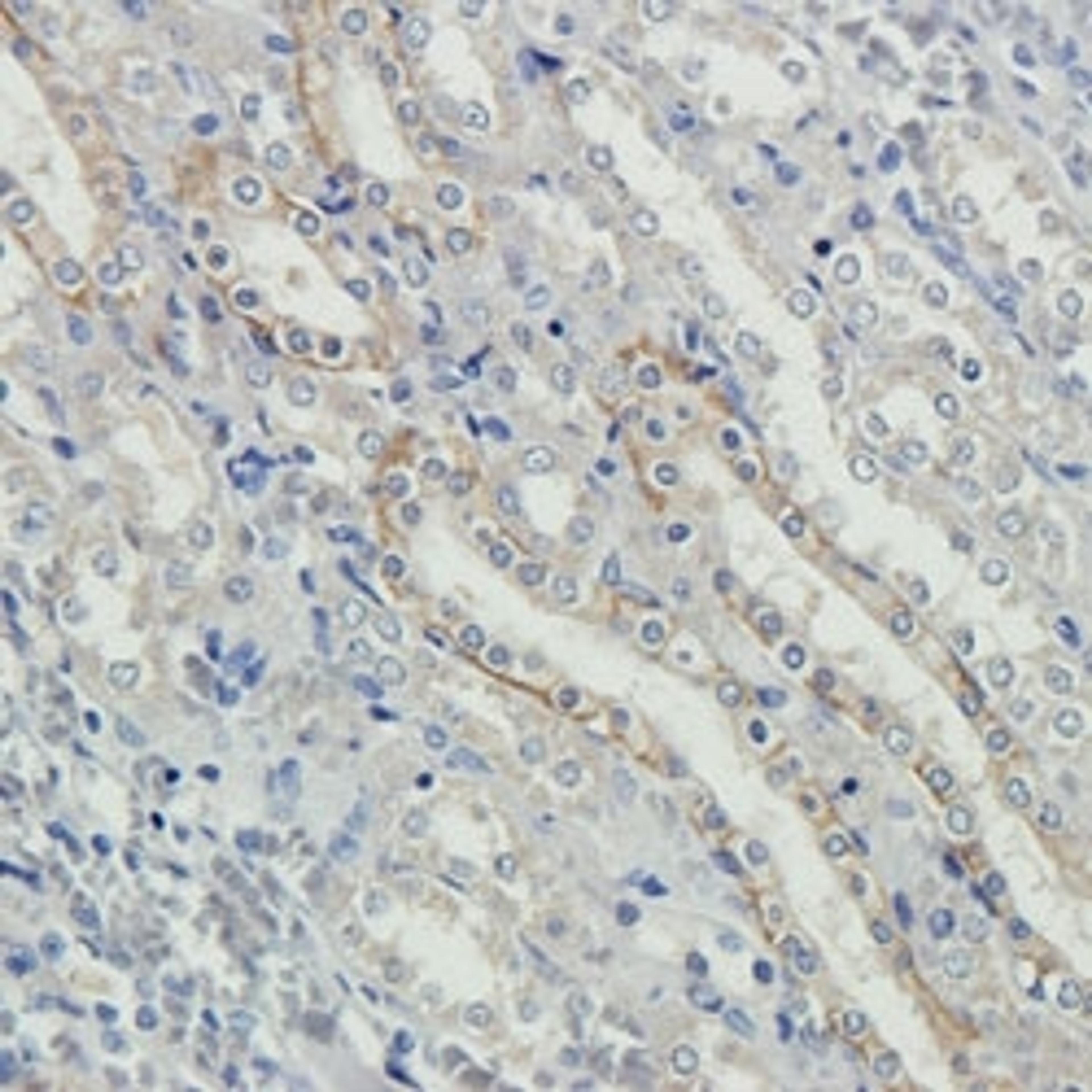
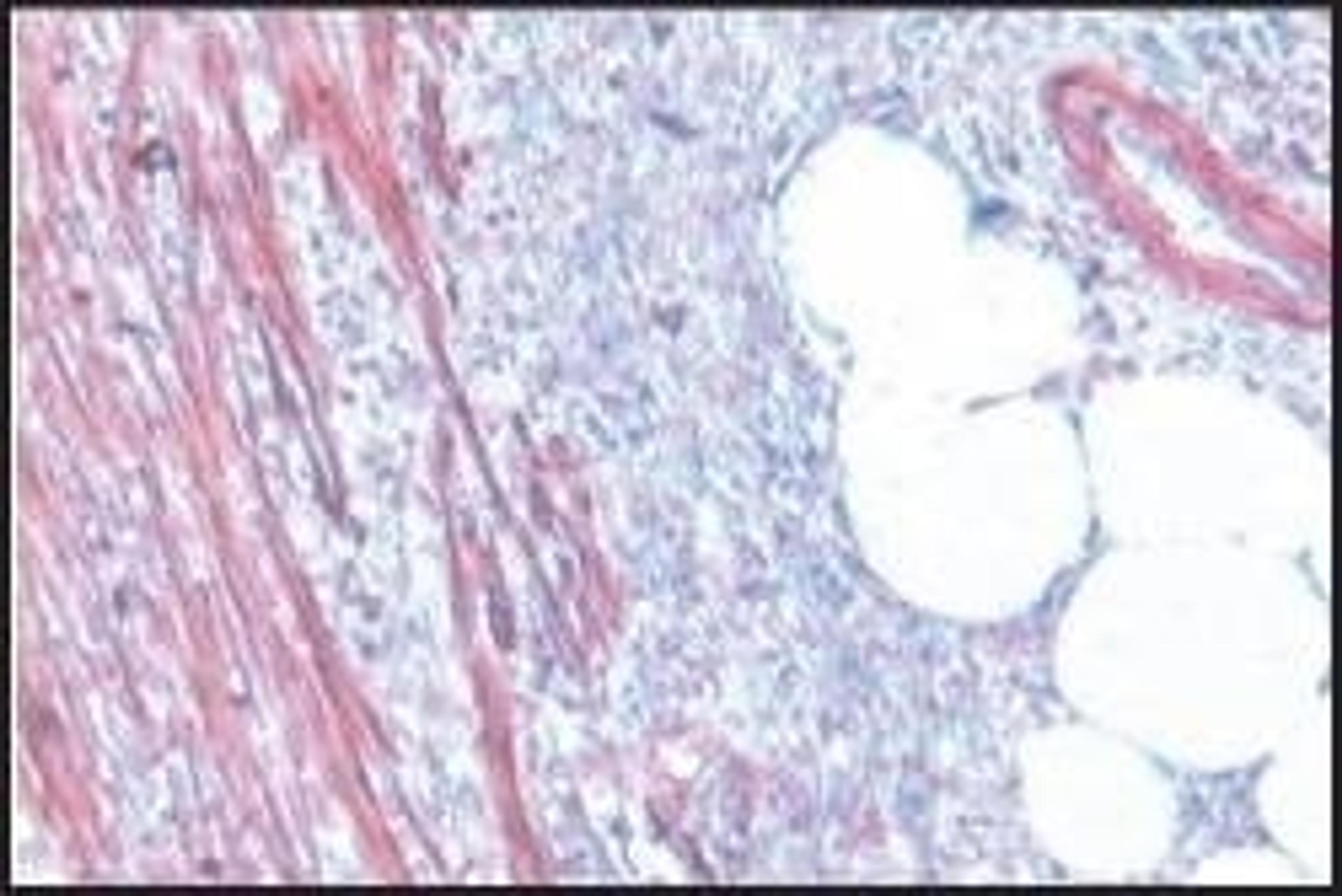
The anti-p62 antibody is useful for research in ubiquitin-associated degradation and autophagy and for detection of neurofibrillary tangles in the brain of Alzheimer disease patients, in Parkinson diseases and various chronic liver diseases. Human p62 protein, present in intracytoplasmic inclusions is found in many tissues and cells, serving probably a common cellular signal transduction mechanism. Human 62 kD (p62) protein…

0.0/5.0
|0 Reviews