Product & ReviewsAntibodies
Goat Anti-Rabbit IgG (H+L) Secondary Antibody, Biotin Conjugated
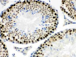
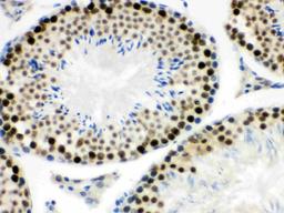
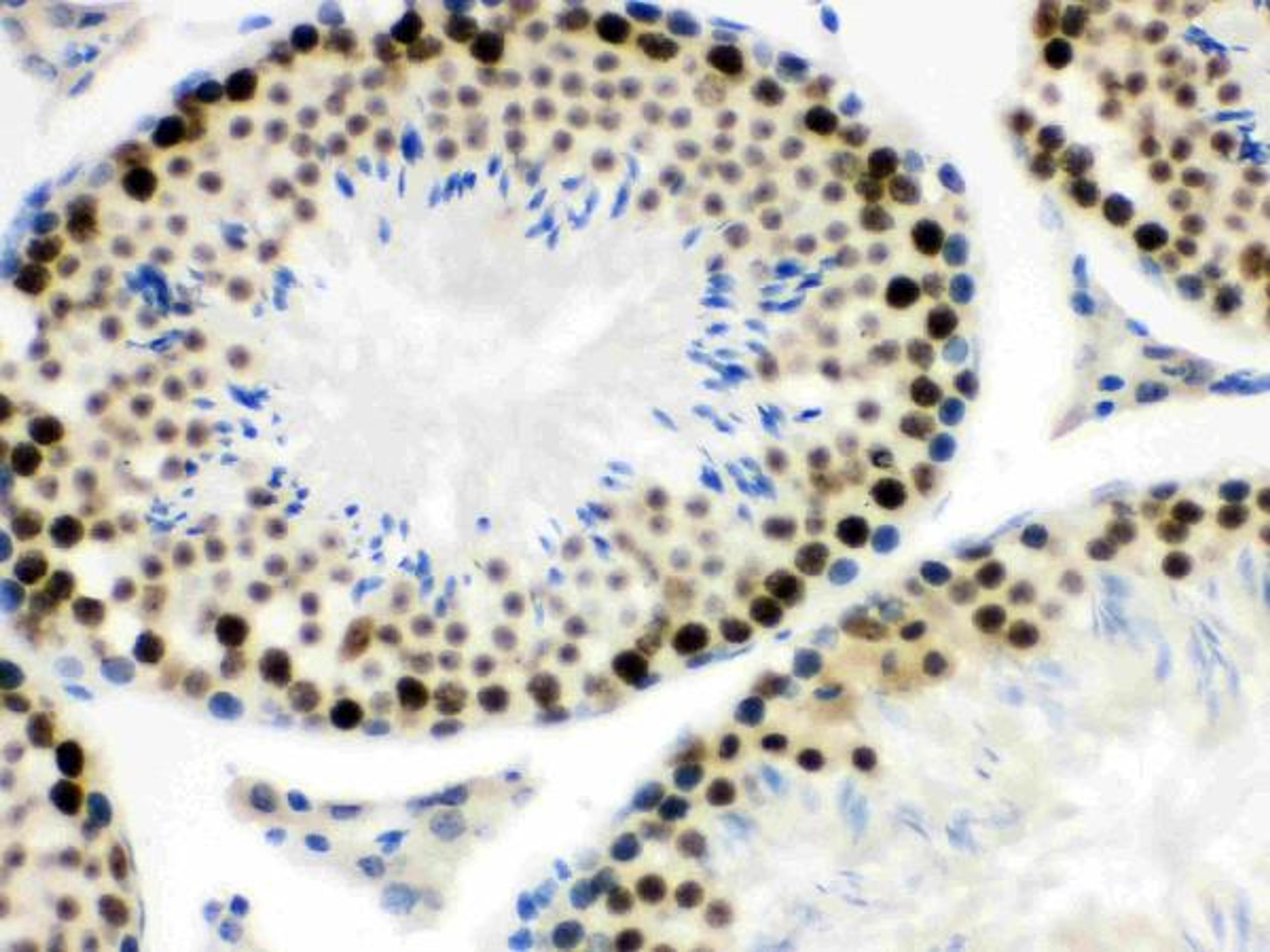
Biotin Conjugated Goat Anti-rabbit IgG (H+L) secondary antibody: This biotin conjugated antibody is specific for rabbit IgG and shows no cross-reactivity with bovine/mouse IgG.
Product Details
- Cat. No.
- BA1003
- Type
- Secondary Antibody
- Clonality
- Polyclonal
- Host
- Goat

The supplier does not provide quotations for this antibody through SelectScience. You can search for similar antibodies in our Antibody Directory.
Reviews
Applications
Antibody Overview
About the company

Boster Bio
Focused on producing well-validated antibodies and ELISA kits


