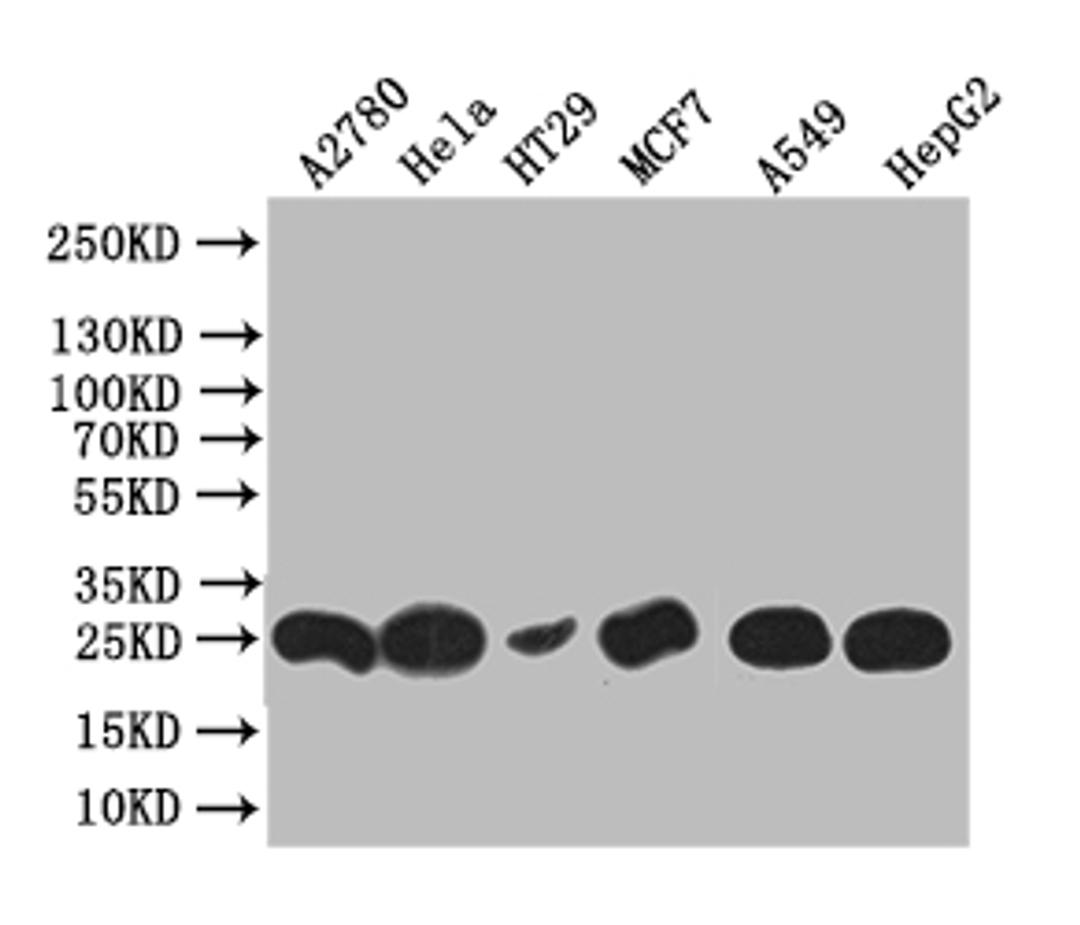
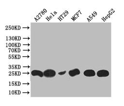
Product & ReviewsAntibodiesWFDC2 Recombinant Monoclonal AntibodyProduct DetailsCat. No.CSB-RA964489A0HUTypePrimary AntibodyClonalityMonoclonal0.0/5.0|0 Reviews|Write your own ReviewWestern Blot. Positive WB detected in: HT29 whole cell lysate, Hela whole cell lysate, HT29 whole cell lysate, MCF7 whole cell lysate, A549 whole cell lysate, HEPG2 whole cell lysate. All lanes: HE4 antibody at 1:1000. Secondary. Goat polyclonal to rabbit IgG at 1/50000 dilution. Predicted band size: 25 kDa. Observed band size: 25 kDa. ReviewsSpecificity rating Sensitivity rating Quality rating Be the first to leave a reviewApplications ELISA (ELISA) Western Blotting (WB) Flow Cytometry (FC)Antibody OverviewWFDC2 Recombinant Monoclonal Antibody0.0/5.0|0 Reviews