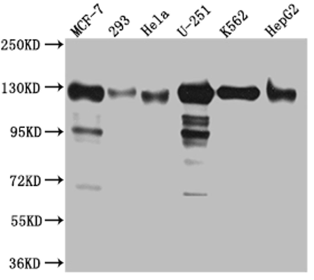
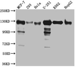
Product & ReviewsAntibodiesKIF11 Recombinant Monoclonal AntibodyProduct DetailsCat. No.CSB-RA956956A0HUTypePrimary AntibodyClonalityMonoclonal0.0/5.0|0 Reviews|Write your own ReviewWestern Blot. Positive WB detected in: MCF-7 whole cell lysate, 293 whole cell lysate, Hela whole cell lysate, U-251 whole cell lysate, K562 whole cell lysate, HepG2 whole cell lysat. All lanes: Eg5 Antibody at 1:1000. Secondary. Goat polyclonal to rabbit IgG at 1/50000 dilution. Predicted band size: 120 kDa. Observed band size: 130 kDa. ReviewsSpecificity rating Sensitivity rating Quality rating Be the first to leave a reviewApplications ELISA (ELISA) Western Blotting (WB)Antibody OverviewKIF11 Recombinant Monoclonal Antibody0.0/5.0|0 Reviews