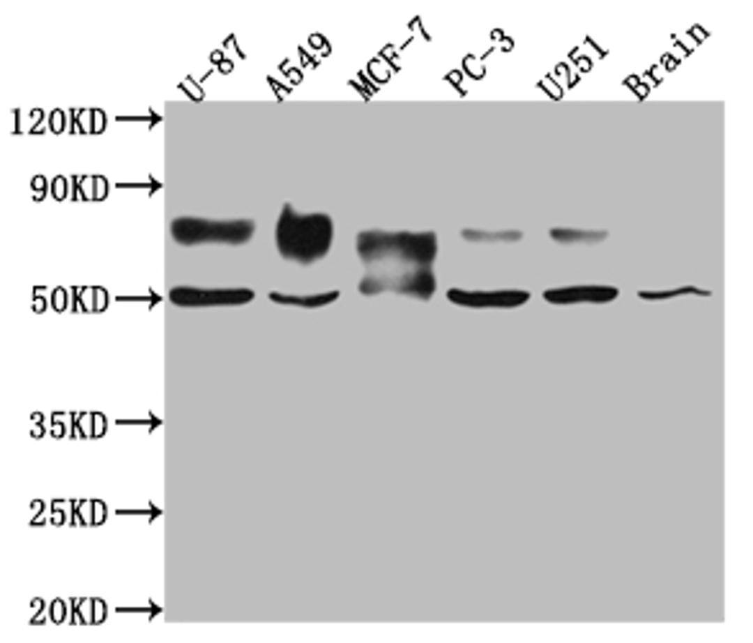
Product & ReviewsAntibodiesTPBG Recombinant Monoclonal AntibodyProduct DetailsCat. No.CSB-RA902876A0HUTypePrimary AntibodyClonalityMonoclonal0.0/5.0|0 Reviews|Write your own ReviewWestern Blot. Positive WB detected in: U-87 whole cell lysate, A549 whole cell lysate, MCF-7 whole cell lysate, PC-3 whole cell lysate, U-251 whole cell lysate, Mouse Brain whole cell lysate. All lanes: 5T4 antibody at 1:1000. Secondary. Goat polyclonal to rabbit IgG at 1/50000 dilution. Predicted band size: 47 kDa. Observed band size: 50, 80 kDa. ReviewsSpecificity rating Sensitivity rating Quality rating Be the first to leave a reviewApplications ELISA (ELISA) Western Blotting (WB) Immunohistochemistry (IHC)Antibody OverviewTPBG Recombinant Monoclonal Antibody0.0/5.0|0 Reviews