Product & ReviewsAntibodies
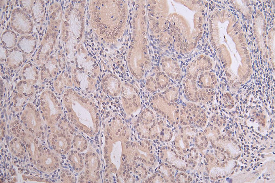
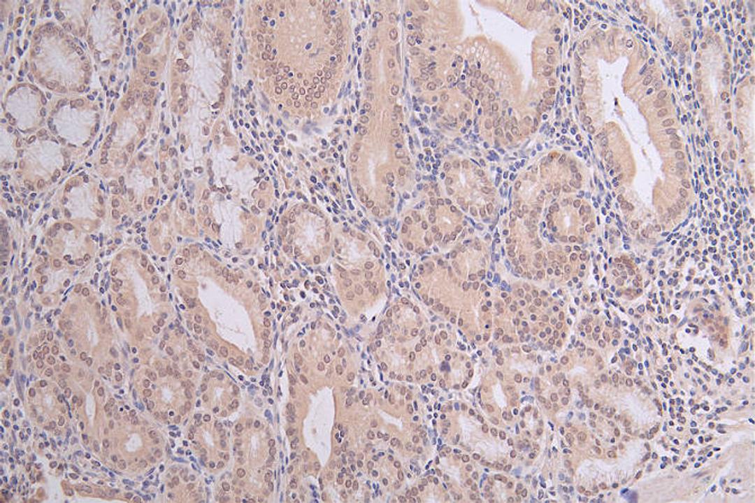
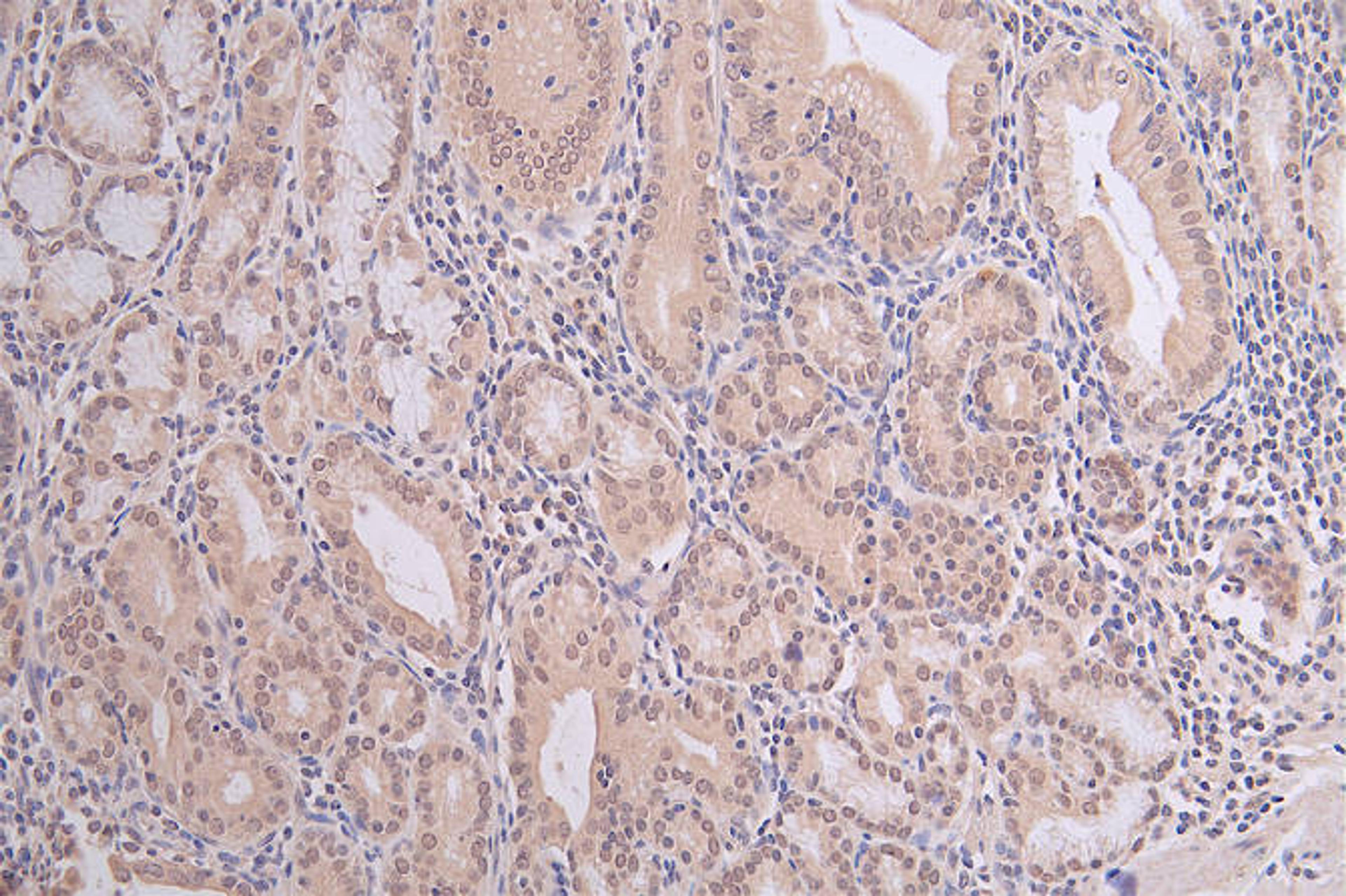
Mono-methyl-HIST1H3A (K9) Recombinant Monoclonal Antibody
Product Details
- Cat. No.
- CSB-RA792403A0HU
- Type
- Primary Antibody
- Clonality
- Monoclonal
Reviews
Applications
- ELISA (ELISA)
- Immunohistochemistry (IHC)
- Immunofluorescence (IF)
- Flow Cytometry (FC)


