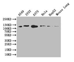
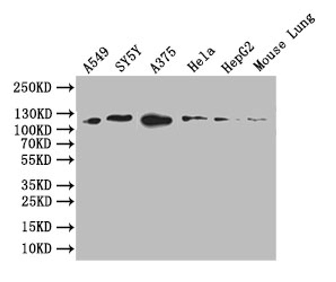
Product & ReviewsAntibodiesDDR2 Recombinant Monoclonal AntibodyProduct DetailsCat. No.CSB-RA289302A0HUTypePrimary AntibodyClonalityMonoclonal0.0/5.0|0 Reviews|Write your own ReviewWestern Blot. Positive WB detected in: A549 whole cell lysate, SY5Y whole cell lysate, A375 whole cell lysate, HEPG2 whole cell lysate, Mouse Lung tissue lysate. All lanes: DDR2 antibody at 1:1000. Secondary. Goat polyclonal to rabbit IgG at 1/50000 dilution. Predicted band size: 96 kDa. Observed band size: 110 kDa. ReviewsSpecificity rating Sensitivity rating Quality rating Be the first to leave a reviewApplications ELISA (ELISA) Western Blotting (WB) Flow Cytometry (FC)Antibody OverviewDDR2 Recombinant Monoclonal Antibody0.0/5.0|0 Reviews