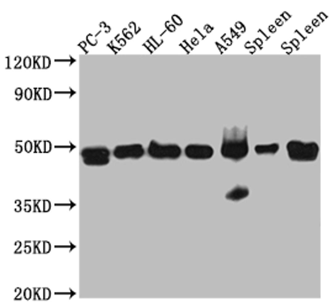
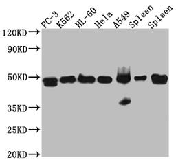
Product & ReviewsAntibodiesACTR3 Recombinant Monoclonal AntibodyProduct DetailsCat. No.CSB-RA213635A0HUTypePrimary AntibodyClonalityMonoclonal0.0/5.0|0 Reviews|Write your own ReviewWestern Blot. Positive WB detected in: PC-3 whole cell lysate, K562 whole cell lysate, HL-60 whole cell lysate, A549 whole cell lysate, Mouse Spleen whole cell lysate, Rat Spleen whole cell lysate. All lanes: Arp3 Antibody at 1:1000. Secondary. Goat polyclonal to rabbit IgG at 1/50000 dilution. Predicted band size: 48 kDa. Observed band size: 48 kDa. ReviewsSpecificity rating Sensitivity rating Quality rating Be the first to leave a reviewApplications ELISA (ELISA) Western Blotting (WB)Antibody OverviewACTR3 Recombinant Monoclonal Antibody0.0/5.0|0 Reviews