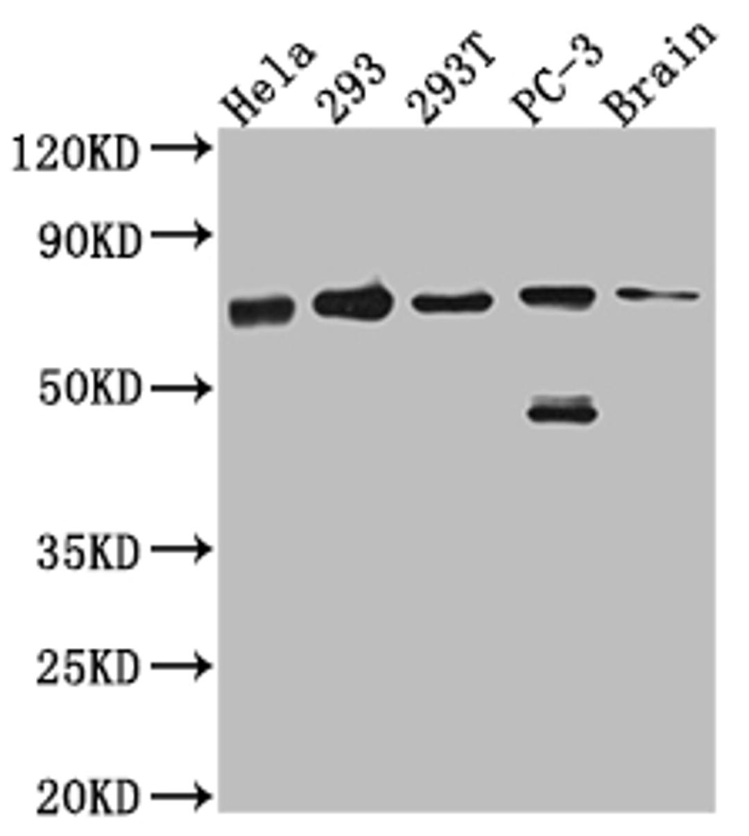
Product & ReviewsAntibodiesLTA4H Recombinant Monoclonal AntibodyProduct DetailsCat. No.CSB-RA198749A0HUTypePrimary AntibodyClonalityMonoclonal0.0/5.0|0 Reviews|Write your own ReviewWestern Blot. Positive WB detected in: Hela whole cell lysate, 293 whole cell lysate, 293T whole cell lysate, PC-3 whole cell lysate, Mouse Brain whole cell lysate. All lanes: LTA4H antibody at 1:1000. Secondary. Goat polyclonal to rabbit IgG at 1/50000 dilution. Predicted band size: 70, 60, 58, 67 kDa. Observed band size: 70 kDa. ReviewsSpecificity rating Sensitivity rating Quality rating Be the first to leave a reviewApplications ELISA (ELISA) Western Blotting (WB)Antibody OverviewLTA4H Recombinant Monoclonal Antibody0.0/5.0|0 Reviews