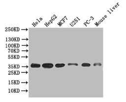
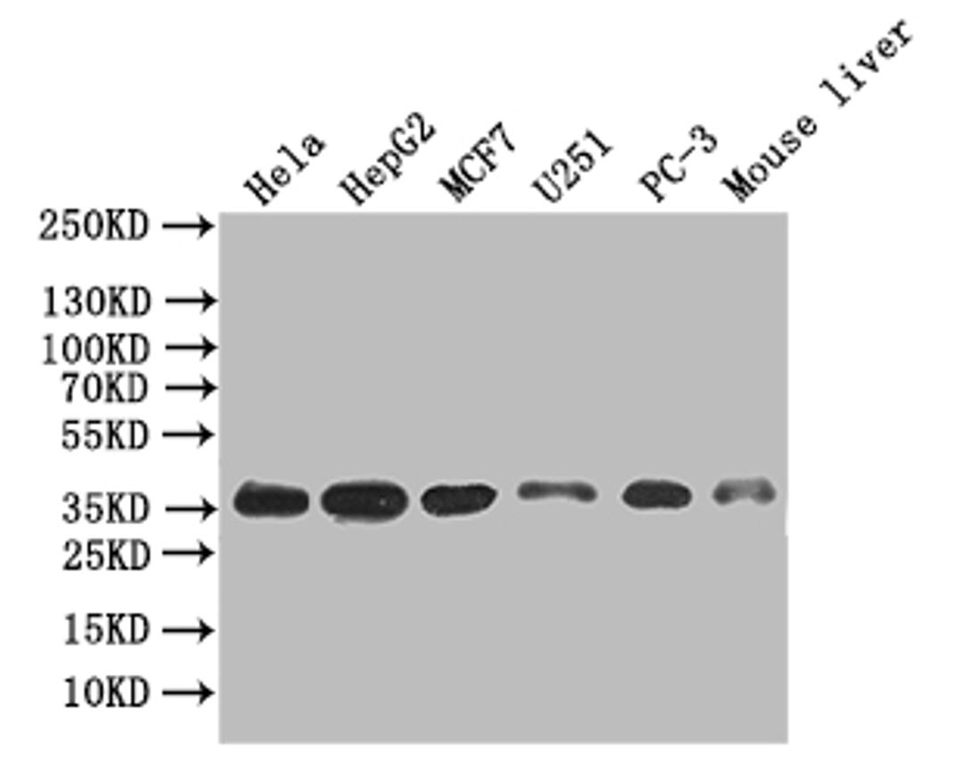
Product & ReviewsAntibodiesANXA4 Recombinant Monoclonal AntibodyProduct DetailsCat. No.CSB-RA001845MA1HUTypePrimary AntibodyClonalityMonoclonal0.0/5.0|0 Reviews|Write your own ReviewWestern Blot. Positive WB detected in: Hela whole cell lysate, HepG2 whole cell lysate, MCF7 whole cell lysate, U251 whole cell lysate, PC-3 whole cell lysate, Mouse Liver tissue lysate. All lanes: ANXA4 antibody at 1:500. Secondary. Goat polyclonal to mouse IgG at 1/50000 dilution. Predicted band size: 36 kDa. Observed band size: 36 kDa. ReviewsSpecificity rating Sensitivity rating Quality rating Be the first to leave a reviewApplications ELISA (ELISA) Western Blotting (WB) Flow Cytometry (FC)Antibody OverviewANXA4 Recombinant Monoclonal Antibody0.0/5.0|0 Reviews