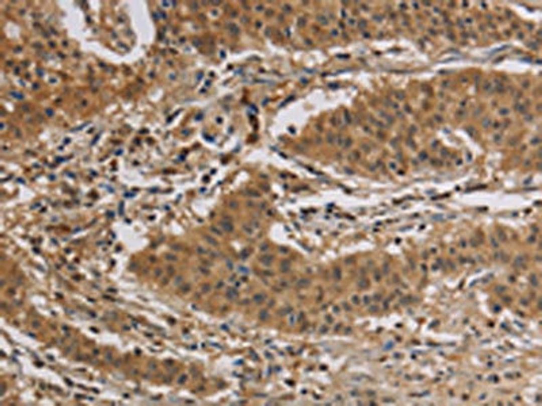
Product & ReviewsAntibodiesCASP3 AntibodyProduct DetailsCat. No.CSB-PA984107TypePrimary AntibodyClonalityPolyclonalHostRabbit0.0/5.0|0 Reviews|Write your own ReviewThe image is immunohistochemistry of paraffin-embedded Human gastric cancer tissue using CSB-PA984107(CASP3 Antibody) at dilution 1/30. (Original magnification: ×200)ReviewsSpecificity rating Sensitivity rating Quality rating Be the first to leave a reviewApplications ELISA (ELISA) Western Blotting (WB) Immunohistochemistry (IHC)Antibody OverviewCASP3 Antibody0.0/5.0|0 Reviews