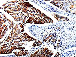
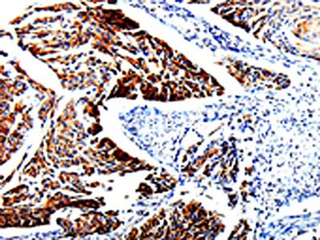
Product & ReviewsAntibodiesTUBB3 AntibodyProduct DetailsCat. No.CSB-PA917452TypePrimary AntibodyClonalityPolyclonalHostRabbit0.0/5.0|0 Reviews|Write your own ReviewThe image is immunohistochemistry of paraffin-embedded Human cervical cancer tissue using CSB-PA917452(TUBB3 Antibody) at dilution 1/25. (Original magnification: ×200)ReviewsSpecificity rating Sensitivity rating Quality rating Be the first to leave a reviewApplications ELISA (ELISA) Western Blotting (WB) Immunohistochemistry (IHC)Antibody OverviewTUBB3 Antibody0.0/5.0|0 Reviews