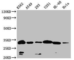
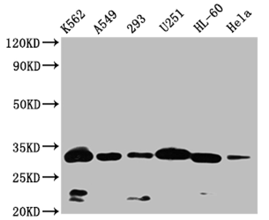
Product & ReviewsAntibodiesVDAC3 AntibodyProduct DetailsCat. No.CSB-PA896484LA01HUTypePrimary AntibodyClonalityPolyclonalHostRabbit0.0/5.0|0 Reviews|Write your own ReviewWestern Blot. Positive WB detected in: K562 whole cell lysate,A549 whole cell lysate,293 whole cell lysate,U251 whole cell lysate,HL-60 whole cell lysate,Hela whole cell lysate. All lanes: VDAC3 antibody at 1:1000. Secondary. Goat polyclonal to rabbit IgG at 1/50000 dilution. Predicted band size: 31 kDa. Observed band size: 32 kDa. ReviewsSpecificity rating Sensitivity rating Quality rating Be the first to leave a reviewApplications ELISA (ELISA) Western Blotting (WB) Immunofluorescence (IF)Antibody OverviewVDAC3 Antibody0.0/5.0|0 Reviews