Product & ReviewsAntibodies

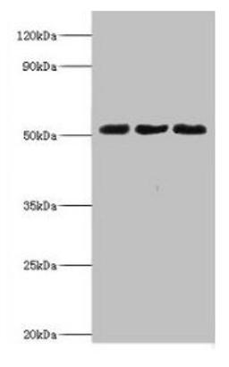
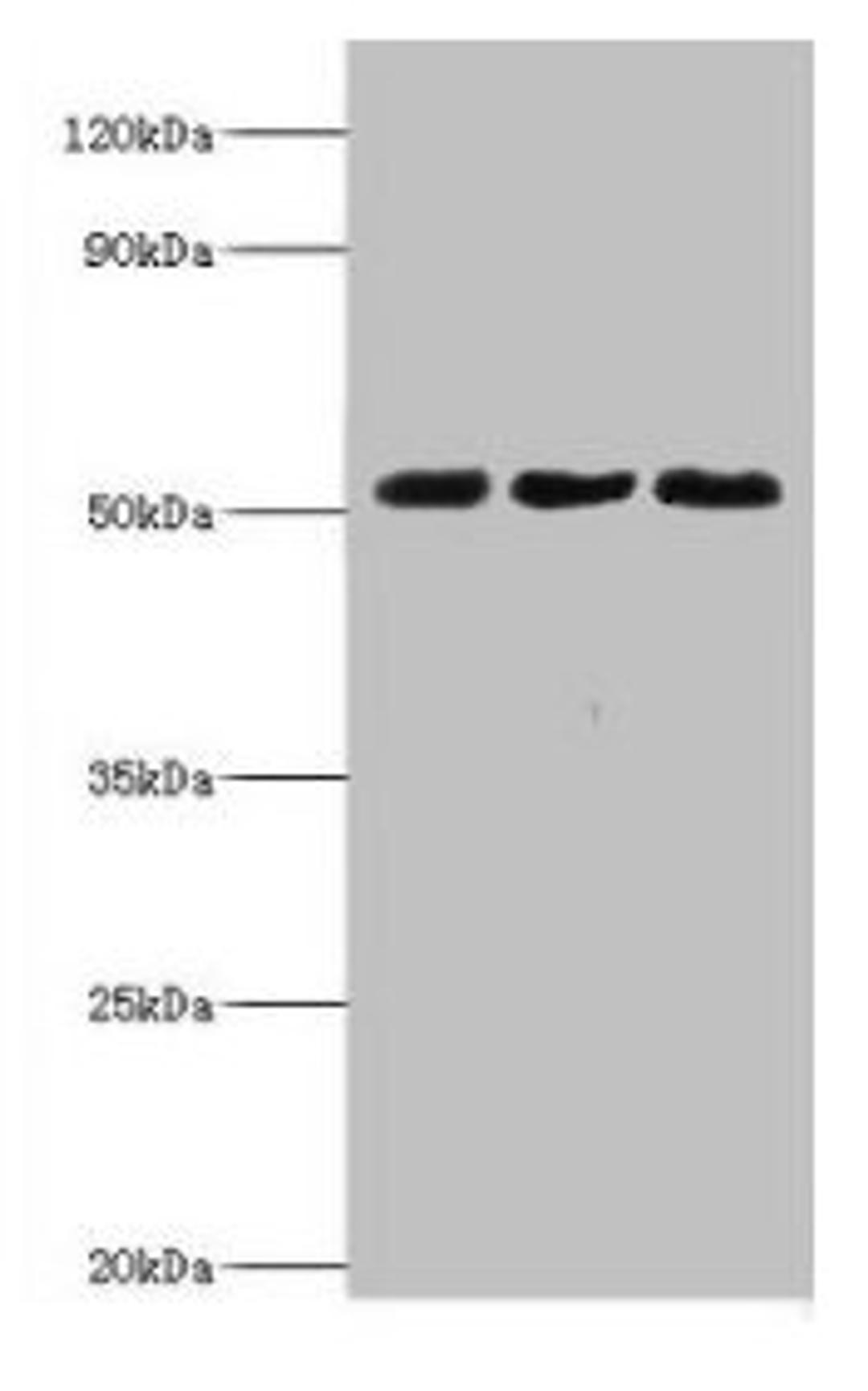
BAG5 Antibody

Product Details

Cat. No.
CSB-PA890743HA01HU
Type
Primary Antibody
Clonality
Polyclonal
Host
Rabbit

Reviews

Specificity rating
Sensitivity rating
Quality rating
Be the first to leave a review

Applications

  • ELISA (ELISA)
  • Western Blotting (WB)
  • Immunohistochemistry (IHC)

Antibody Overview