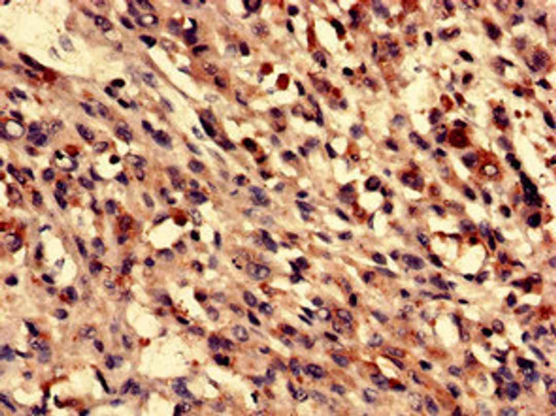
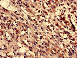
Product & ReviewsAntibodiesFUZ AntibodyProduct DetailsCat. No.CSB-PA883593LA01HUTypePrimary AntibodyClonalityPolyclonalHostRabbit0.0/5.0|0 Reviews|Write your own ReviewImmunohistochemistry analysis of human melanoma using CSB-PA883593LA01HU at dilution of 1:100ReviewsSpecificity rating Sensitivity rating Quality rating Be the first to leave a reviewApplications ELISA (ELISA) Immunohistochemistry (IHC) Immunofluorescence (IF)Antibody OverviewFUZ Antibody0.0/5.0|0 Reviews