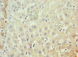
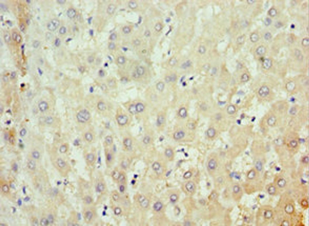
Product & ReviewsAntibodiesMKS1 AntibodyProduct DetailsCat. No.CSB-PA882132ESR2HUTypePrimary AntibodyClonalityPolyclonalHostRabbit0.0/5.0|0 Reviews|Write your own ReviewImmunohistochemistry of paraffin-embedded human liver tissue using CSB-PA882132ESR2HU at dilution of 1:100ReviewsSpecificity rating Sensitivity rating Quality rating Be the first to leave a reviewApplications ELISA (ELISA) Immunohistochemistry (IHC) Immunoprecipitation (IP)Antibody OverviewMKS1 Antibody0.0/5.0|0 Reviews