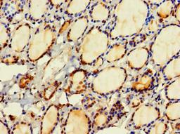
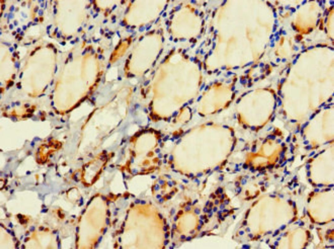
Product & ReviewsAntibodiesHDHD2 AntibodyProduct DetailsCat. No.CSB-PA880936LA01HUTypePrimary AntibodyClonalityPolyclonalHostRabbit0.0/5.0|0 Reviews|Write your own ReviewImmunohistochemistry of paraffin-embedded human thyroid tissue using CSB-PA880936LA01HU at dilution of 1:100ReviewsSpecificity rating Sensitivity rating Quality rating Be the first to leave a reviewApplications ELISA (ELISA) Immunohistochemistry (IHC) Immunofluorescence (IF)Antibody OverviewHDHD2 Antibody0.0/5.0|0 Reviews