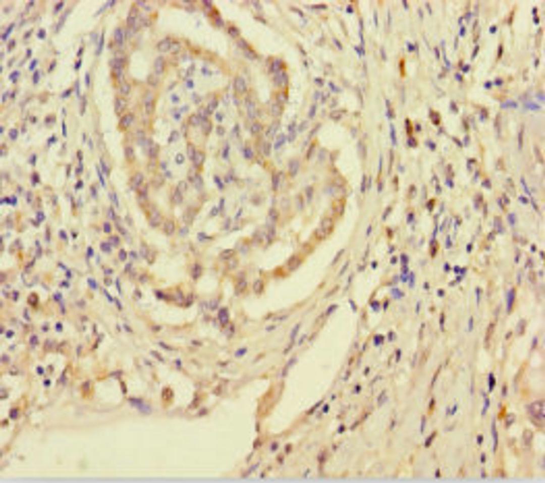
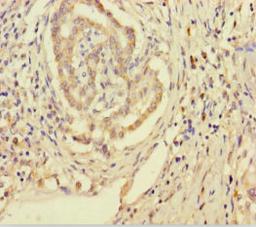
Product & ReviewsAntibodiesSMPD3 AntibodyProduct DetailsCat. No.CSB-PA878920LA01HUTypePrimary AntibodyClonalityPolyclonalHostRabbit0.0/5.0|0 Reviews|Write your own ReviewImmunohistochemistry of paraffin-embedded human pancreatic cancer using CSB-PA878920LA01HU at dilution of 1:100ReviewsSpecificity rating Sensitivity rating Quality rating Be the first to leave a reviewApplications ELISA (ELISA) Immunohistochemistry (IHC) Immunoprecipitation (IP)Antibody OverviewSMPD3 Antibody0.0/5.0|0 Reviews