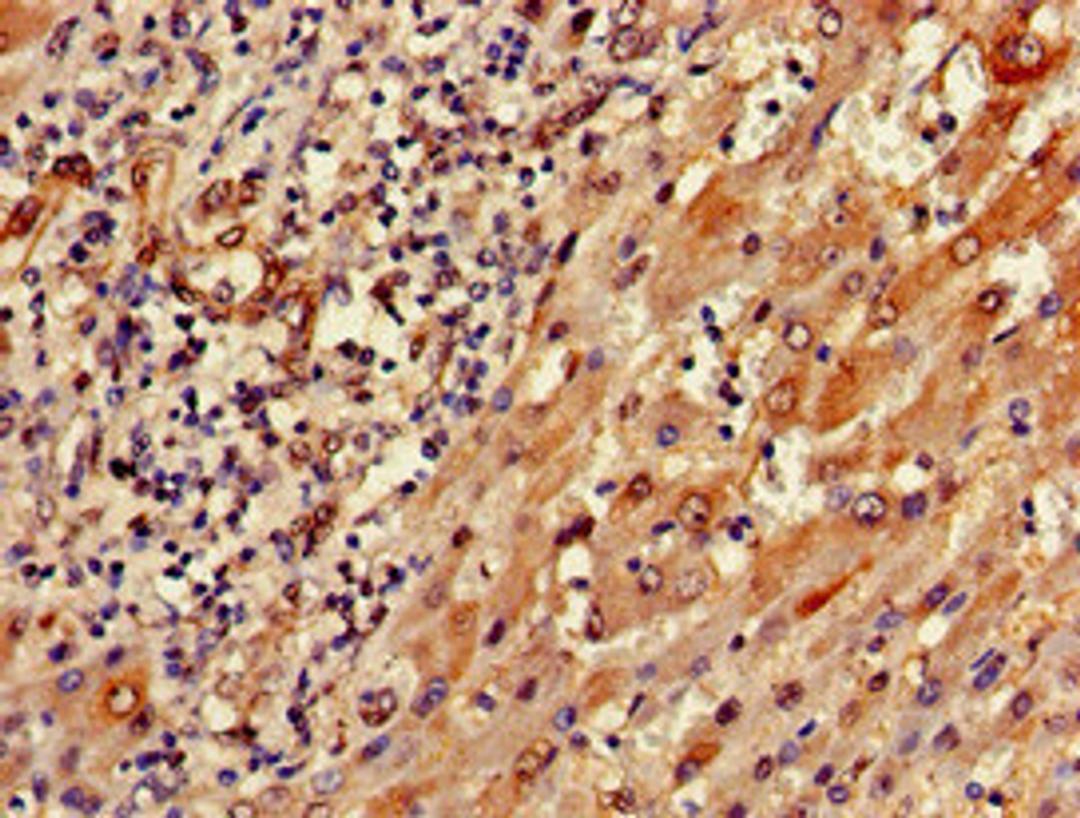
Product & ReviewsAntibodiesSEMA6A AntibodyProduct DetailsCat. No.CSB-PA875655YA01HUTypePrimary AntibodyClonalityPolyclonalHostRabbit0.0/5.0|0 Reviews|Write your own ReviewImmunohistochemistry of paraffin-embedded human liver cancer using CSB-PA875655YA01HU at dilution of 1:100ReviewsSpecificity rating Sensitivity rating Quality rating Be the first to leave a reviewApplications ELISA (ELISA) Immunohistochemistry (IHC) Immunofluorescence (IF)Antibody OverviewSEMA6A Antibody0.0/5.0|0 Reviews