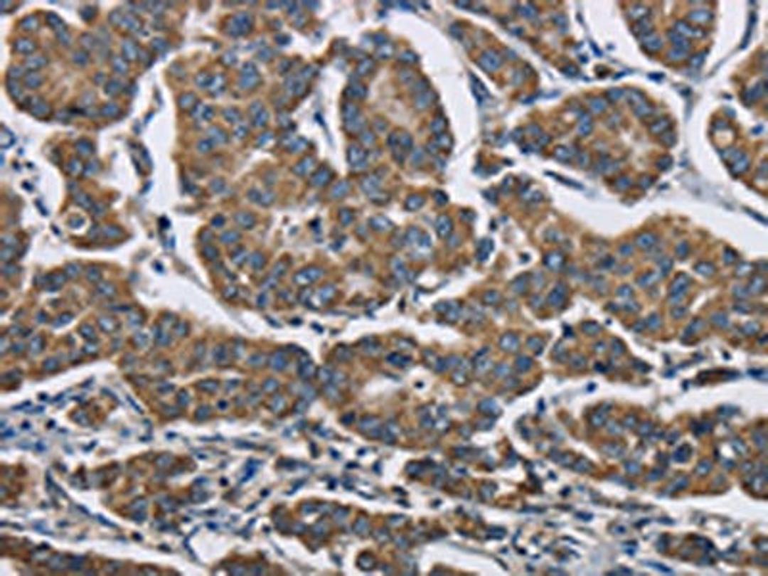
Product & ReviewsAntibodiesAGER AntibodyProduct DetailsCat. No.CSB-PA874417TypePrimary AntibodyClonalityPolyclonalHostRabbit0.0/5.0|0 Reviews|Write your own ReviewThe image is immunohistochemistry of paraffin-embedded Human breast cancer tissue using CSB-PA874417(AGER Antibody) at dilution 1/70. (Original magnification: ×200)ReviewsSpecificity rating Sensitivity rating Quality rating Be the first to leave a reviewApplications ELISA (ELISA) Western Blotting (WB) Immunohistochemistry (IHC)Antibody OverviewAGER Antibody0.0/5.0|0 Reviews