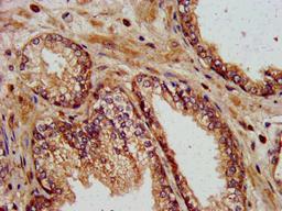
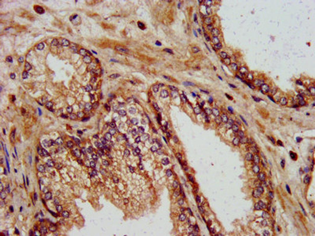
Product & ReviewsAntibodiesKIF13B AntibodyProduct DetailsCat. No.CSB-PA873625LA01HUTypePrimary AntibodyClonalityPolyclonalHostRabbit0.0/5.0|0 Reviews|Write your own ReviewIHC image of CSB-PA873625LA01HU diluted at 1:400 and staining in paraffin-embedded human prostate cancer performed on a Leica BondTM system.ReviewsSpecificity rating Sensitivity rating Quality rating Be the first to leave a reviewApplications ELISA (ELISA) Immunohistochemistry (IHC) Immunofluorescence (IF)Antibody OverviewKIF13B Antibody0.0/5.0|0 Reviews