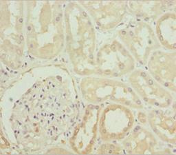
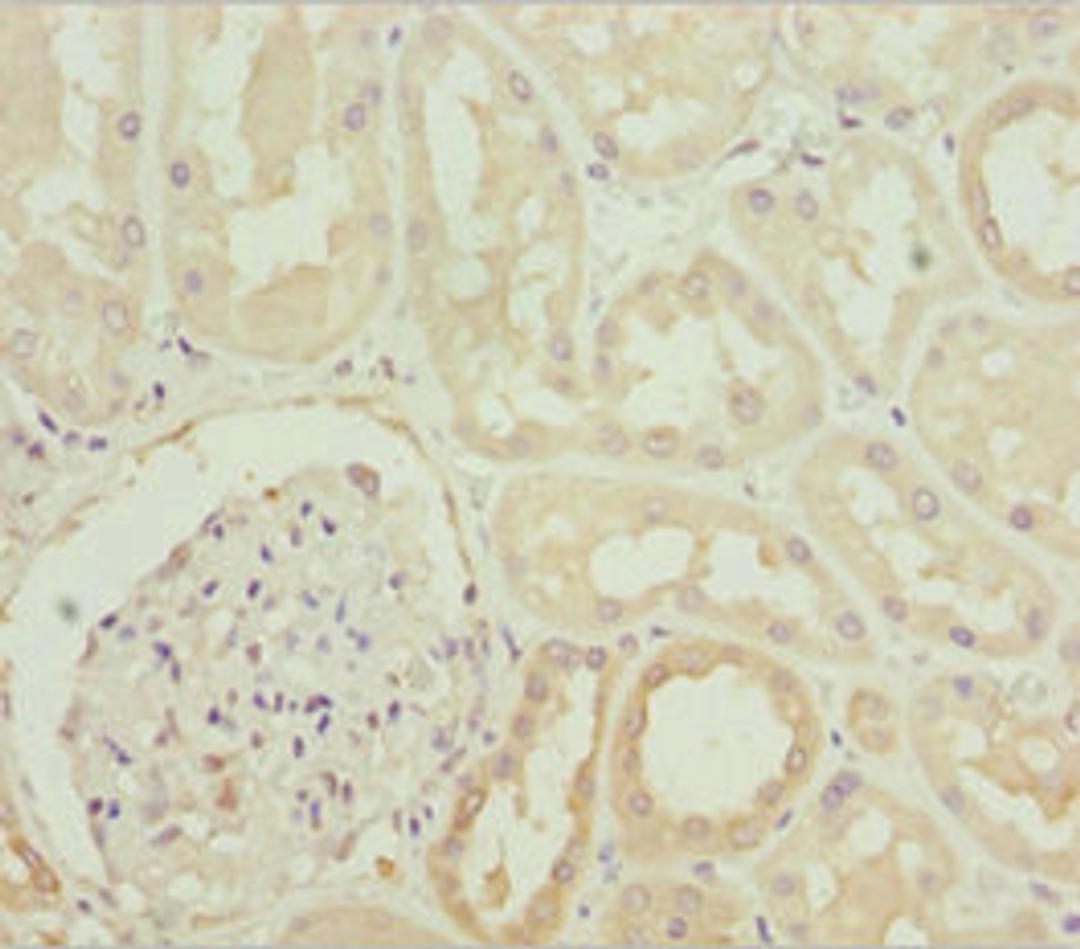
Product & ReviewsAntibodiesPLCD4 AntibodyProduct DetailsCat. No.CSB-PA866264ESR1HUTypePrimary AntibodyClonalityPolyclonalHostRabbit0.0/5.0|0 Reviews|Write your own ReviewImmunohistochemistry of paraffin-embedded human kidney tissue using CSB-PA866264ESR1HU at dilution of 1:100ReviewsSpecificity rating Sensitivity rating Quality rating Be the first to leave a reviewApplications ELISA (ELISA) Immunohistochemistry (IHC) Immunofluorescence (IF)Antibody OverviewPLCD4 Antibody0.0/5.0|0 Reviews