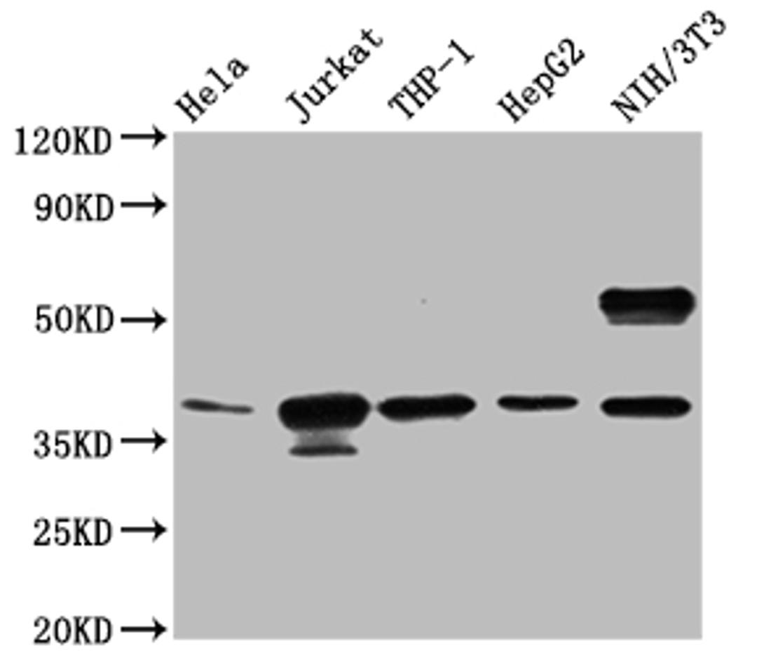
Product & ReviewsAntibodiesCLYBL AntibodyProduct DetailsCat. No.CSB-PA850772LA01HUTypePrimary AntibodyClonalityPolyclonalHostRabbit0.0/5.0|0 Reviews|Write your own ReviewWestern Blot. Positive WB detected in: Hela whole cell lysate, Jurkat whole cell lysate, THP-1 whole cell lysate, HepG2 whole cell lysate, NIH/3T3 whole cell lysate. All lanes: CLYBL antibody at 1:1000. Secondary. Goat polyclonal to rabbit IgG at 1/50000 dilution. Predicted band size: 38, 34 KDa. Observed band size: 38 KDa. Exposure time:5minReviewsSpecificity rating Sensitivity rating Quality rating Be the first to leave a reviewApplications ELISA (ELISA) Western Blotting (WB) Immunohistochemistry (IHC)Antibody OverviewCLYBL Antibody0.0/5.0|0 Reviews