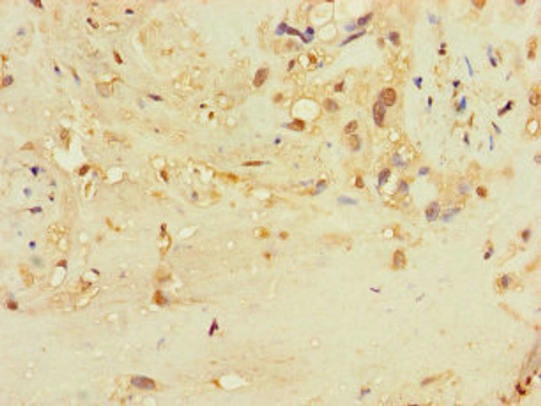
Product & ReviewsAntibodiesTSPAN32 AntibodyProduct DetailsCat. No.CSB-PA842746LA01HUTypePrimary AntibodyClonalityPolyclonalHostRabbit0.0/5.0|0 Reviews|Write your own ReviewImmunohistochemistry of paraffin-embedded human placenta tissue using CSB-PA842746LA01HU at dilution of 1:100ReviewsSpecificity rating Sensitivity rating Quality rating Be the first to leave a reviewApplications ELISA (ELISA) Immunohistochemistry (IHC) Immunofluorescence (IF)Antibody OverviewTSPAN32 Antibody0.0/5.0|0 Reviews