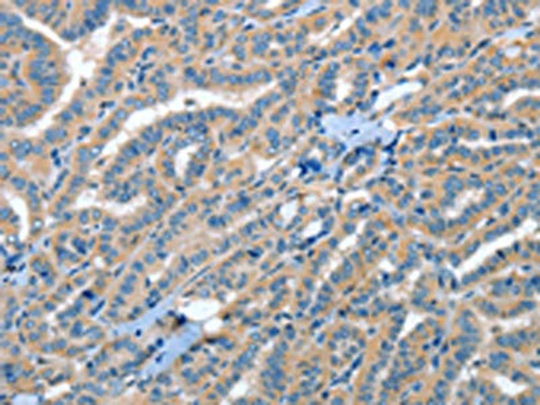
Product & ReviewsAntibodiesRAP1A AntibodyProduct DetailsCat. No.CSB-PA827156TypePrimary AntibodyClonalityPolyclonalHostRabbit0.0/5.0|0 Reviews|Write your own ReviewThe image on the left is immunohistochemistry of paraffin-embedded Human thyroid cancer tissue using CSB-PA827156(RAP1A Antibody) at dilution 1/35, on the right is treated with fusion protein. (Original magnification: ×200)ReviewsSpecificity rating Sensitivity rating Quality rating Be the first to leave a reviewApplications ELISA (ELISA) Western Blotting (WB) Immunohistochemistry (IHC)Antibody OverviewRAP1A Antibody0.0/5.0|0 Reviews