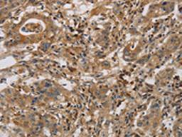
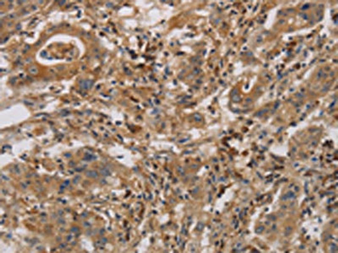
Product & ReviewsAntibodiesCASP9 AntibodyProduct DetailsCat. No.CSB-PA785649TypePrimary AntibodyClonalityPolyclonalHostRabbit0.0/5.0|0 Reviews|Write your own ReviewThe image is immunohistochemistry of paraffin-embedded Human gastric cancer tissue using CSB-PA785649(CASP9 Antibody) at dilution 1/70. (Original magnification: ×200)ReviewsSpecificity rating Sensitivity rating Quality rating Be the first to leave a reviewApplications ELISA (ELISA) Western Blotting (WB) Immunohistochemistry (IHC)Antibody OverviewCASP9 Antibody0.0/5.0|0 Reviews