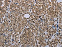
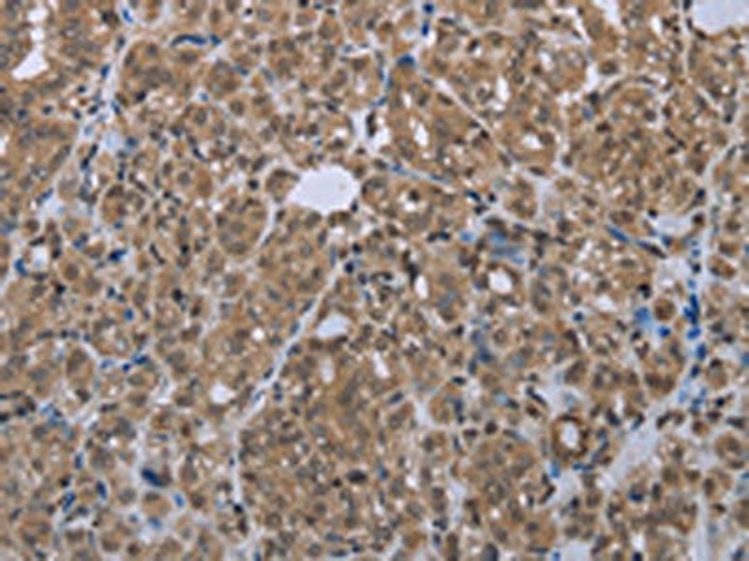
Product & ReviewsAntibodiesSMAD4 AntibodyProduct DetailsCat. No.CSB-PA780020TypePrimary AntibodyClonalityPolyclonalHostRabbit0.0/5.0|0 Reviews|Write your own ReviewThe image is immunohistochemistry of paraffin-embedded Human thyroid cancer tissue using CSB-PA780020(SMAD4 Antibody) at dilution 1/20. (Original magnification: ×200)ReviewsSpecificity rating Sensitivity rating Quality rating Be the first to leave a reviewApplications ELISA (ELISA) Western Blotting (WB) Immunohistochemistry (IHC)Antibody OverviewSMAD4 Antibody0.0/5.0|0 Reviews