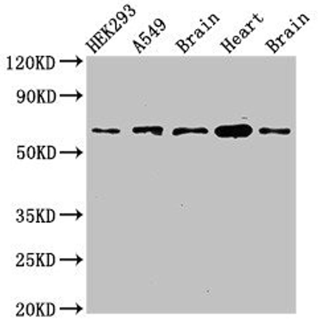
Product & ReviewsAntibodiesPXK AntibodyProduct DetailsCat. No.CSB-PA770363LA01HUTypePrimary AntibodyClonalityPolyclonalHostRabbit0.0/5.0|0 Reviews|Write your own ReviewWestern Blot. Positive WB detected in: HEK293 whole cell lysate, A549 whole cell lysate, Mouse brain tissue, Mouse heart tissue, Rat brain tissue. All lanes: PXK antibody at 2.7µg/ml. Secondary. Goat polyclonal to rabbit IgG at 1/50000 dilution. Predicted band size: 65, 59, 39, 63, 50, 61, 56 kDa. Observed band size: 65 kDaReviewsSpecificity rating Sensitivity rating Quality rating Be the first to leave a reviewApplications ELISA (ELISA) Western Blotting (WB) Immunohistochemistry (IHC)Antibody OverviewPXK Antibody0.0/5.0|0 Reviews