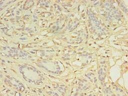
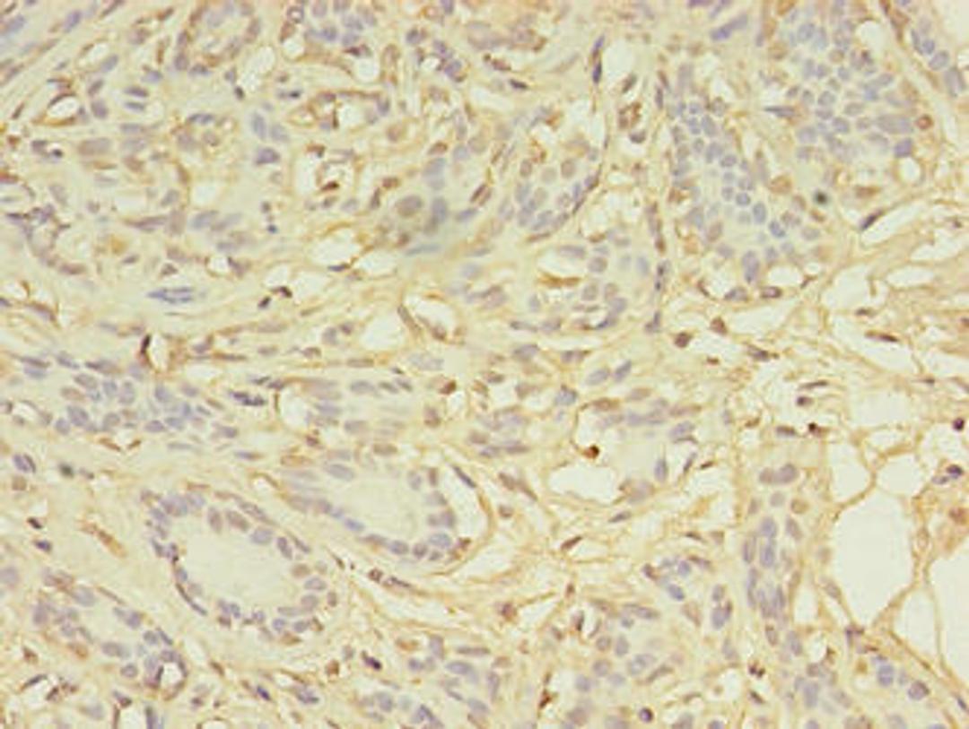
Product & ReviewsAntibodiesAGBL2 AntibodyProduct DetailsCat. No.CSB-PA732978LA01HUTypePrimary AntibodyClonalityPolyclonalHostRabbit0.0/5.0|0 Reviews|Write your own ReviewImmunohistochemistry of paraffin-embedded human breast cancer using CSB-PA732978LA01HU at dilution of 1:100ReviewsSpecificity rating Sensitivity rating Quality rating Be the first to leave a reviewApplications ELISA (ELISA) Western Blotting (WB) Immunohistochemistry (IHC)Antibody OverviewAGBL2 Antibody0.0/5.0|0 Reviews