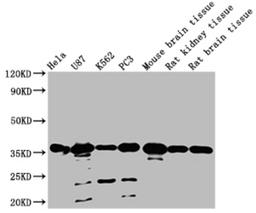
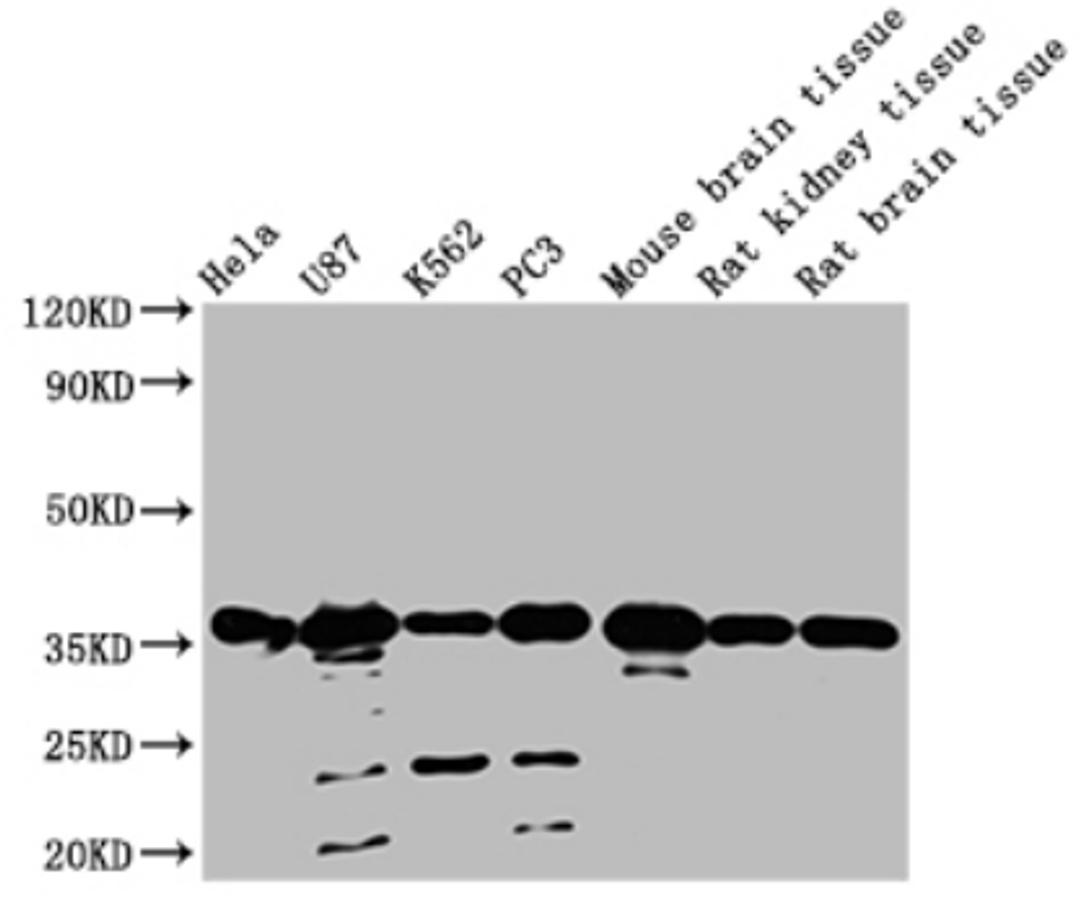
Product & ReviewsAntibodiesMETRNL AntibodyProduct DetailsCat. No.CSB-PA731035LA01HUTypePrimary AntibodyClonalityPolyclonalHostRabbit0.0/5.0|0 Reviews|Write your own ReviewWestern Blot. Positive WB detected in: Hela whole cell lysate, U87 whole cell lysate, K562 whole cell lysate, PC3 whole cell lysate, Mouse brain tissue, Rat kidney tissue, Rat brain tissue. All lanes: METRNL antibody at 1:2000. Secondary. Goat polyclonal to rabbit IgG at 1/50000 dilution. Predicted band size: 35, 26 KDa. Observed band size: 35 KDa. Exposure time:1min. ReviewsSpecificity rating Sensitivity rating Quality rating Be the first to leave a reviewApplications ELISA (ELISA) Western Blotting (WB) Immunohistochemistry (IHC)Antibody OverviewMETRNL Antibody0.0/5.0|0 Reviews