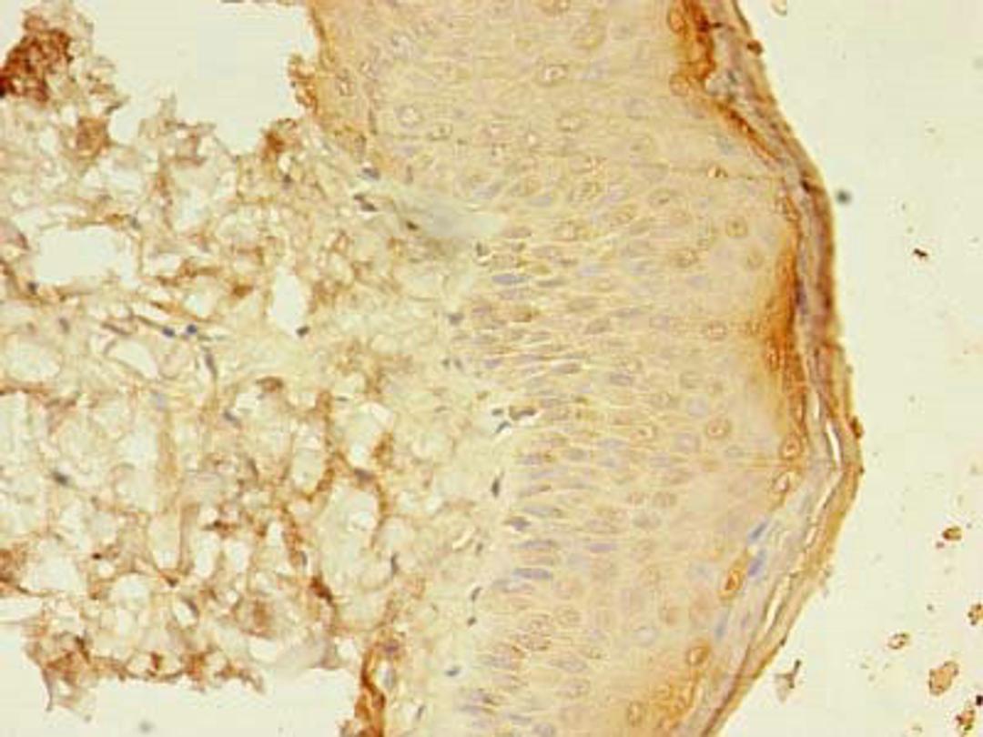
Product & ReviewsAntibodiesSMAD1 AntibodyProduct DetailsCat. No.CSB-PA618998LA01HUTypePrimary AntibodyClonalityPolyclonalHostRabbit0.0/5.0|0 Reviews|Write your own ReviewImmunohistochemistry of paraffin-embedded human skin tissue using CSB-PA618998LA01HU at dilution of 1:100ReviewsSpecificity rating Sensitivity rating Quality rating Be the first to leave a reviewApplications ELISA (ELISA) Western Blotting (WB) Immunohistochemistry (IHC) Immunofluorescence (IF)Antibody OverviewSMAD1 Antibody0.0/5.0|0 Reviews