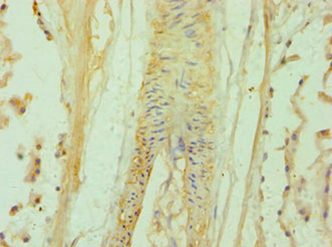
Product & ReviewsAntibodiesBAMBI AntibodyProduct DetailsCat. No.CSB-PA615666ESR2HUTypePrimary AntibodyClonalityPolyclonalHostRabbit0.0/5.0|0 Reviews|Write your own ReviewImmunohistochemistry of paraffin-embedded human prostate tissue using CSB-PA615666ESR2HU at dilution of 1:100ReviewsSpecificity rating Sensitivity rating Quality rating Be the first to leave a reviewApplications ELISA (ELISA) Immunohistochemistry (IHC)Antibody OverviewBAMBI Antibody0.0/5.0|0 Reviews