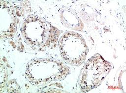
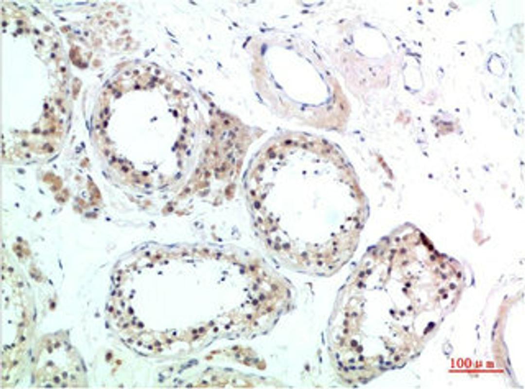
Product & ReviewsAntibodiesHSPA8 AntibodyProduct DetailsCat. No.CSB-PA575152TypePrimary AntibodyClonalityPolyclonalHostRabbit0.0/5.0|0 Reviews|Write your own ReviewImmunohistochemical analysis of paraffin-embedded Human Testis Tissue using HSC70 Rabbit pAb diluted at 1:200ReviewsSpecificity rating Sensitivity rating Quality rating Be the first to leave a reviewApplications ELISA (ELISA) Western Blotting (WB) Immunohistochemistry (IHC)Antibody OverviewHSPA8 Antibody0.0/5.0|0 Reviews