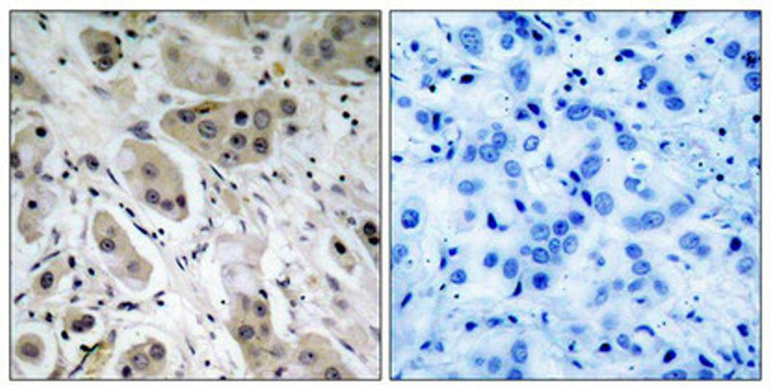
Product & ReviewsAntibodiesPhospho-AKT1 (Ser473) AntibodyProduct DetailsCat. No.CSB-PA573922TypePrimary AntibodyClonalityPolyclonalHostRabbit0.0/5.0|0 Reviews|Write your own ReviewImmunohistochemical analysis of paraffin-embedded human breast carcinoma tissue using Akt(Phospho-Ser473) Antibody(left) or the same antibody preincubated with blocking peptide(right).ReviewsSpecificity rating Sensitivity rating Quality rating Be the first to leave a reviewApplications ELISA (ELISA) Western Blotting (WB) Immunohistochemistry (IHC)Antibody OverviewPhospho-AKT1 (Ser473) Antibody0.0/5.0|0 Reviews