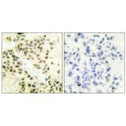
Product & ReviewsAntibodiesPRKDC AntibodyProduct DetailsCat. No.CSB-PA572497TypePrimary AntibodyClonalityPolyclonalHostRabbit0.0/5.0|0 Reviews|Write your own ReviewImmunohistochemical analysis of paraffin-embedded human breast carcinoma tissue using DNA-PK antibody.ReviewsSpecificity rating Sensitivity rating Quality rating Be the first to leave a reviewApplications ELISA (ELISA) Western Blotting (WB) Immunohistochemistry (IHC) Immunofluorescence (IF)Antibody OverviewPRKDC Antibody0.0/5.0|0 Reviews