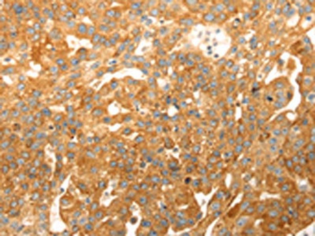
Product & ReviewsAntibodiesCAPN1 AntibodyProduct DetailsCat. No.CSB-PA445743TypePrimary AntibodyClonalityPolyclonalHostRabbit0.0/5.0|0 Reviews|Write your own ReviewThe image on the left is immunohistochemistry of paraffin-embedded Human breast cancer tissue using CSB-PA445743(CAPN1 Antibody) at dilution 1/20, on the right is treated with fusion protein. (Original magnification: ×200)ReviewsSpecificity rating Sensitivity rating Quality rating Be the first to leave a reviewApplications ELISA (ELISA) Western Blotting (WB) Immunohistochemistry (IHC)Antibody OverviewCAPN1 Antibody0.0/5.0|0 Reviews