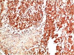
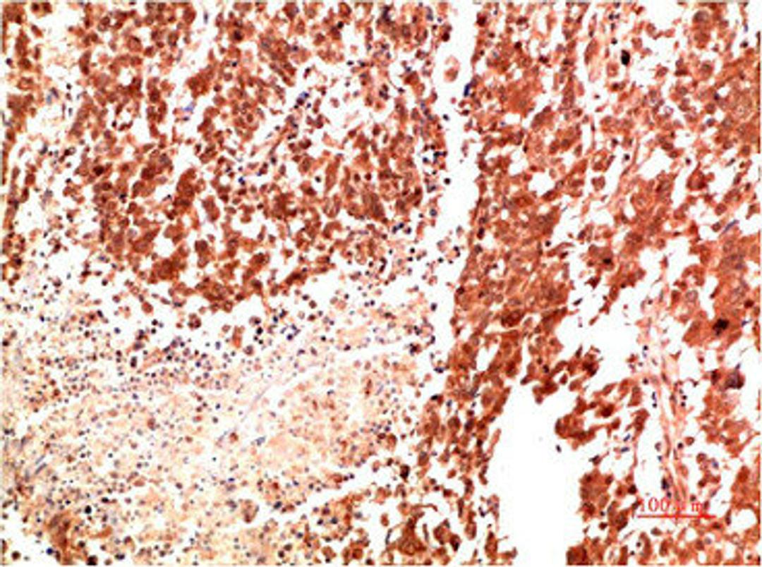
Product & ReviewsAntibodiesMET AntibodyProduct DetailsCat. No.CSB-PA376125TypePrimary AntibodyClonalityPolyclonalHostRabbit0.0/5.0|0 Reviews|Write your own ReviewImmunohistochemical analysis of paraffin-embedded Human Lung Carcinoma Tissue using Met Rabbit pAb diluted at 1:500.ReviewsSpecificity rating Sensitivity rating Quality rating Be the first to leave a reviewApplications ELISA (ELISA) Immunohistochemistry (IHC)Antibody OverviewMET Antibody0.0/5.0|0 Reviews