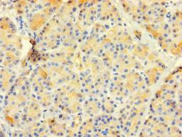
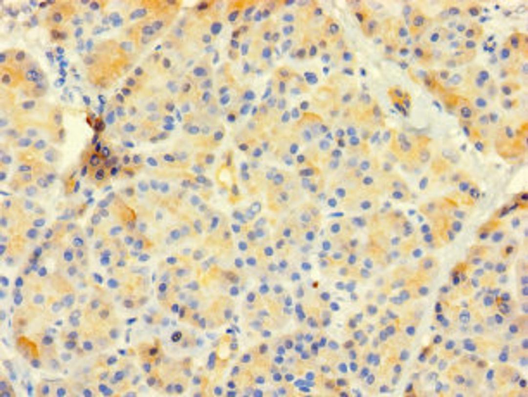
Product & ReviewsAntibodiesCTRB1 AntibodyProduct DetailsCat. No.CSB-PA324640LA01HUTypePrimary AntibodyClonalityPolyclonalHostRabbit0.0/5.0|0 Reviews|Write your own ReviewImmunohistochemistry of paraffin-embedded human pancreatic tissue using CSB-PA324640LA01HU at dilution of 1:100ReviewsSpecificity rating Sensitivity rating Quality rating Be the first to leave a reviewApplications ELISA (ELISA) Western Blotting (WB) Immunohistochemistry (IHC)Antibody OverviewCTRB1 Antibody0.0/5.0|0 Reviews