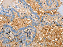
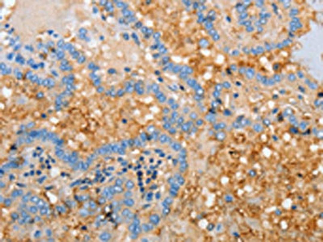
Product & ReviewsAntibodiesAPOH AntibodyProduct DetailsCat. No.CSB-PA297198TypePrimary AntibodyClonalityPolyclonalHostRabbit0.0/5.0|0 Reviews|Write your own ReviewThe image on the left is immunohistochemistry of paraffin-embedded Human thyroid cancer tissue using CSB-PA297198(APOH Antibody) at dilution 1/30, on the right is treated with fusion protein. (Original magnification: ×200)ReviewsSpecificity rating Sensitivity rating Quality rating Be the first to leave a reviewApplications ELISA (ELISA) Western Blotting (WB) Immunohistochemistry (IHC)Antibody OverviewAPOH Antibody0.0/5.0|0 Reviews