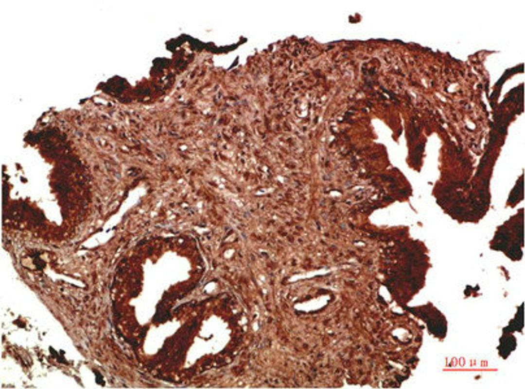
Product & ReviewsAntibodiesATM AntibodyProduct DetailsCat. No.CSB-PA243808TypePrimary AntibodyClonalityPolyclonalHostRabbit0.0/5.0|0 Reviews|Write your own ReviewImmunohistochemical analysis of paraffin-embedded Human Prostate Carcinoma Tissue using ATM Rabbit pAb diluted at 1:200.ReviewsSpecificity rating Sensitivity rating Quality rating Be the first to leave a reviewApplications ELISA (ELISA) Immunohistochemistry (IHC)Antibody OverviewATM Antibody0.0/5.0|0 Reviews