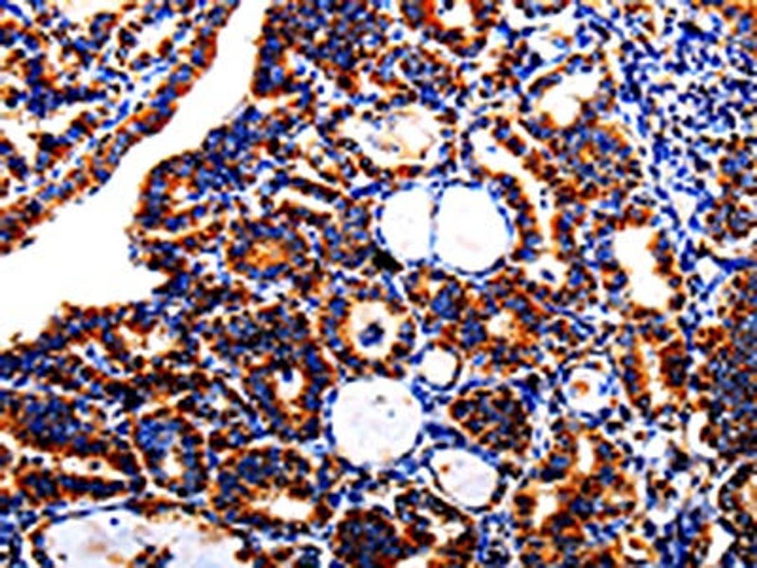
Product & ReviewsAntibodiesAFP AntibodyProduct DetailsCat. No.CSB-PA230953TypePrimary AntibodyClonalityPolyclonalHostRabbit0.0/5.0|0 Reviews|Write your own ReviewThe image is immunohistochemistry of paraffin-embedded Human thyroid cancer tissue using CSB-PA230953(AFP Antibody) at dilution 1/40. (Original magnification: X200)ReviewsSpecificity rating Sensitivity rating Quality rating Be the first to leave a reviewApplications ELISA (ELISA) Western Blotting (WB) Immunohistochemistry (IHC)Antibody OverviewAFP Antibody0.0/5.0|0 Reviews