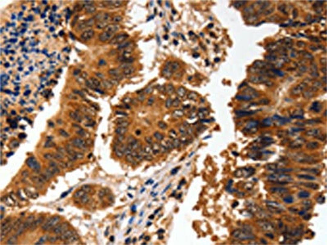
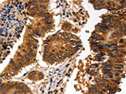
Product & ReviewsAntibodiesADAP1 AntibodyProduct DetailsCat. No.CSB-PA217880TypePrimary AntibodyClonalityPolyclonalHostRabbit0.0/5.0|0 Reviews|Write your own ReviewThe image on the left is immunohistochemistry of paraffin-embedded Human colon cancer tissue using CSB-PA217880(ADAP1 Antibody) at dilution 1/60, on the right is treated with fusion protein. (Original magnification: ×200)ReviewsSpecificity rating Sensitivity rating Quality rating Be the first to leave a reviewApplications ELISA (ELISA) Western Blotting (WB) Immunohistochemistry (IHC)Antibody OverviewADAP1 Antibody0.0/5.0|0 Reviews