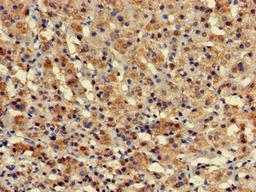
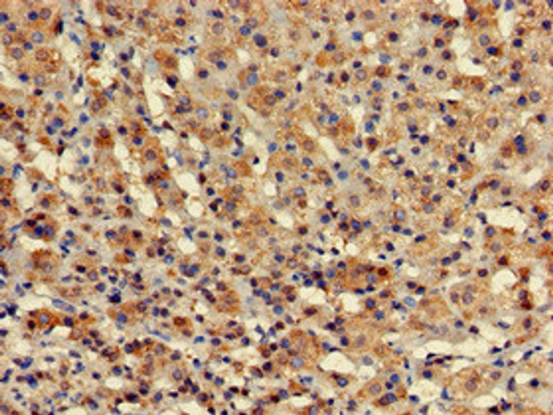
Product & ReviewsAntibodiesZBTB16 AntibodyProduct DetailsCat. No.CSB-PA21019A0RbTypePrimary AntibodyClonalityPolyclonalHostRabbit0.0/5.0|0 Reviews|Write your own ReviewImmunohistochemistry of paraffin-embedded human adrenal gland tissue using CSB-PA21019A0Rb at dilution of 1:100ReviewsSpecificity rating Sensitivity rating Quality rating Be the first to leave a reviewApplications ELISA (ELISA) Western Blotting (WB) Immunohistochemistry (IHC)Antibody OverviewZBTB16 Antibody0.0/5.0|0 Reviews